Overview
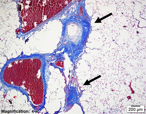
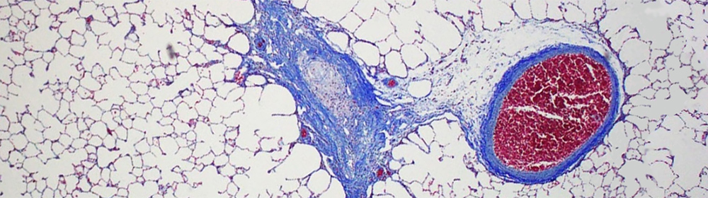
The primary focus of the McGraw lab is understanding the mechanisms of fibrotic lung diseases. One of the lung diseases studied is bronchiolitis obliterans (BO), a devastating and often progressive fibrotic lung disease characterized by progressive luminal narrowing and obliteration of the small airways, or bronchioles. The laboratory uses chemicals known to cause bronchiolitis obliterans for modeling fibrotic lung disease. Our goal is to bring new therapies to patients suffering from this devastating disease.

In Vitro and In Vivo Inhalation Exposure Systems
In collaboration with the URMC Environmental Health Sciences Center’s Inhalation Exposure Facility, the McGraw lab has developed a variety of in vitro and in vivo vapor exposure systems. These exposure systems are used to model acute and chronic lung and airway diseases following inhalation exposures to toxic chemicals.
Development of novel in vivo exposure systems with continuous monitoring and closed loop communication
In vitro inhalation exposures systems for exposing human tissue to chemicals
Lung function Testing and Real-Time Monitoring in Small Rodents
In collaboration with the O’Reilly/Dylag lab, the McGraw lab utilizes a variety of novel technologies for physiologic monitoring of respiratory function and mechanics after inhalation exposures.
Real-time monitoring of animal vital signs (heart rate, oxygen saturations) using STARR Life Science software and sensors
Measurement of respiratory mechanics using the SQIREQ Flexivent® ventilator and affiliated software
Lung function testing in chemically-exposed rodents. Pressure-volume loops, as seen on a ventilator in the ICU
Lung Regeneration Modeling
The McGraw lab has adapted 3D ‘organoid’ cultures for studying epithelial biology and regeneration after inhalation injuries.

Airway colonies, or ‘bronchospheres’, grown from a single cell In 3D culture
Immunofluorescent image of airway grown from a single Keratin 5+ cell

Matthew D. McGraw, M.D.
Principal Investigator
- Influenza A Virus Following Radiotherapy Amplifies Lung Injury and Monocyte-derived Macrophage Responses.; American journal of respiratory cell and molecular biology. 2025 Jul 30.
- Diacetyl Inhalation Impairs Airway Epithelial Repair in Mice Infected with Influenza A Virus.; American journal of physiology. Lung cellular and molecular physiology. 2022 Sep 06.
- Post-translational modifications to hemidesmosomes in human airway epithelial cells following diacetyl exposure.; Scientific reports; Vol 12(1). 2022 Jun 13.
- Noninvasive systemic biomarkers of e-cigarette or vaping use-associated lung injury: a pilot study.; ERJ open research; Vol 8(2). 2022 Apr.
Affiliations
News
E-cigarettes Stress Lungs, Impair Protein Function -
A PNNL-developed technique shows e-cigarettes inflict oxidative stress on lung tissue in rats.
Contact Us
McGraw Lab
Matthew D. McGraw, M.D.
Assistant Professor, Department of Pediatrics, Division of Pulmonology
University of Rochester, Golisano Children's Hospital
601 Elmwood Avenue, Box 667
Rochester, NY 14642
Matthew_Mcgraw@URMC.Rochester.edu
Phone: (585) 275-2464
Fax: (585) 275-8706

