Ontogeny of Mammalian Hematopoiesis
The first blood cells in the mammalian embryo emerge within yolk sac blood islands from hemangioblast precursors (Huber, et al. Nature, 2004). Also in collaboration with the laboratory of Gordon Keller, we identified two waves of hematopoietic progenitors emerging from the yolk sac prior to colonization of the liver (Palis, et al. Development, 1999). The first “primitive” wave is at least bilineage in nature, since it contains both primitive erythroid and megakaryocyte progenitors (Tober, et al. Blood, 2007). The second “definitive” wave contains definitive erythroid, megakaryocyte, and multiple myeloid lineages and arise from hemogenic endothelium (Frame, e al. Stem Cells, 2016). The lineage composition and relationships of these primitive and definitive progenitor waves and their contribution to hematopoiesis in the fetal liver are under active investigation (McGrath, et al. Cell Reports, 2015). Taken together, our studies indicate that the onset of hematopoiesis within the yolk sac of mammals is much more complex than previously thought.

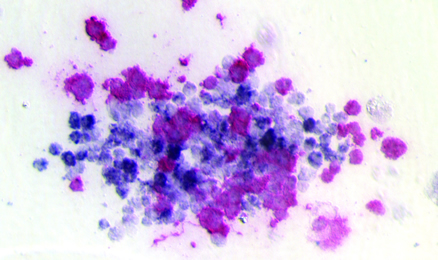
Immunohistochemical staining with anti-bH1-globin (blue) and anti-GP1bb (red) antibodies identifies a colony derived from a bipotential megakaryocyte/primitive erythroid progenitor derived from the murine yolk sac.
References
- Zhang Y, McGrath KE, Ayoub E, Kingsley PD, Yu H, Fegan K, McGlynn K, Rudzinskas S, Palis J*, Perkins AS*. Mds1-EviCreERT2, an inducible Cre allele specific to adult repopulating hematopoietic stem cells. Cell Reports 36:109562, 2021.
- Dege C, Fegan KH, Creamer JP, Berrien-Elliott MM, Luff SA, Kim D, Wagner JA, Kingsley PD, McGrath KE, Fehninger TA, Palis J*, Sturgeon CM*. Potently cytotoxic natural killer cell potential emerges from erythro-myeloid progenitors during mammalian development. Developmental Cell 53:229-239, 2020.
- Stolla MC, Kingsley PD, Grant R, Koniski A, Vit L, Catherman SC, Fegan KH, McGrath KE, Daley GQ, Palis J. Lin28b regulates age-dependent differences in platelet function. Blood Advances 3:72-82, 2019.
- Frame JM, Fegan KH, Conway S, McGrath KE, Palis, J. Definitive hematopoiesis in the yolk sac emerges from Wnt-responsive hemogenic endothelium independently of circulation and arterial identity. Stem Cells 34:431-444, 2016.
- McGrath KE, Frame JM, Fegan KM, Bowen JR, Conway SJ, Catherman SC, Kingsley PD, Koniski AD, Palis J. Distinct sources of hematopoietic progenitors emerge before HSC and provide functional blood cells in the mammalian embryo. Cell Reports 11:1892-1904, 2015
- Kingsley PD, Greenfest-Allen E, Frame JM, Bushnell TP, Malik J, McGrath KE, Stoeckert CJ Jr, Palis J. Ontogeny of erythroid gene expression. Blood 121:e5-e13, 2013.
- Tober J, Koniski A, McGrath KE, Vemishetti R, Emerson R, de Mesy-Bentley KKL, Waugh R, Palis J: The megakaryocyte lineage originates from hemangioblast precursors and is an integral component both of primitive and definitive hematopoiesis. Blood 109:1433-1441, 2007.
- Huber TL, Kouskoff V, Fehling HJ, Palis J, Keller G. Haemangioblast commitment is initiated in the primitive streak of the mouse embryo. Nature 432:625-630, 2004.
- Palis J, Chan RJ, Koniski A, Patel R, Starr M, Yoder MC: Spatial and temporal emergence of high proliferative potential hematopoietic precursors during murine embryogenesis. Proceedings National Academy of Science USA 98:4528-4533, 2001.
- Palis J, Kennedy M, Robertson S, Wall C, Keller G: Development of erythroid and myeloid progenitors in the yolk sac and embryo proper of the mouse embryo. Development 126:5073-5084, 1999.