Skip to main content
Wilmot Cancer Institute
menu

For more information, please visit our Comprehensive Brain & Spinal Tumor site

What do I have?

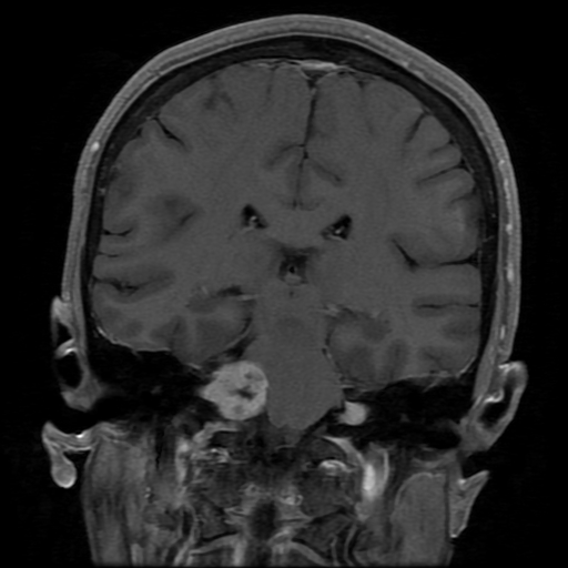
Acoustic Neuroma (AN): Acoustic neuromas are non-cancerous tumors that develop along the vestibulocochlear, or 8th, cranial nerve. ANs are also sometimes referred to as acoustic schwannomas as they arise from the Schwann cells which form the covering of the nerves. Approximately 3,000 new cases are diagnosed each year in the United States. They are most commonly found in adults in their 50s and 60s and males and females are affected equally as often.

What does it do?

Usually, these tumors begin to grow within the internal auditory canal. In some cases, as they get bigger, they can enter the cerebellopontine angle between the brain stem and pons. Large tumors can cause blockage of the spinal fluid flow through the brain and can result in increased intracranial pressure. In addition, ANs, because of their location, can cause pressure on other cranial nerves resulting in deficits. Symptoms may include decreased hearing, imbalance, impaired gait, dizziness or vertigo associated with nausea and vomiting, a sensation of pressure in the ear, and often tinnitus, a high pitched ringing or hissing sound. Large tumors that affect additional cranial nerves may cause facial weakness, decreased facial sensation, and loss of taste on the same side as the tumor. The tumors that grow large enough o cause increased intracranial pressure may present with headache, vomiting, and changes in consciousness.

How long have I had it?

ANs are generally slow-growing tumors and may be present for many years before they cause any symptoms.

Can it be cured?

The majority ANs can be cured or controlled through a combination of surgery and radiation therapy. The mainstay of therapy for ANs is surgical removal. If complete surgical removal is not possible or if surgery can not be performed at all due to other medical issues, radiation therapy is often an option as well. Depending on the tumor size and the patient’s symptoms, either a 6 week course or a one-day radiosurgery procedure may be recommended. Despite the fact that these tumors can often be controlled, lasting neurological deficits could be present.


View all Conditions