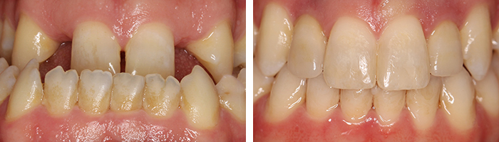
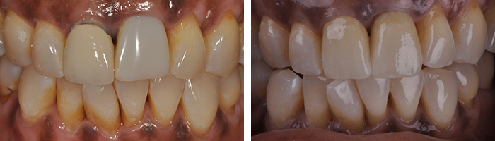
Eastman Institute for Oral Health / Educational Programs / Prosthodontics Division / Dual Certificate Program in Prosthodontics and Periodontology / Our Work Our Work