Skip to main content
menu
URochester Medicine / Labs / Majewska Lab / Projects / Microglial Function in the Healthy Brain

Microglial Function in the Healthy Brain

microglia

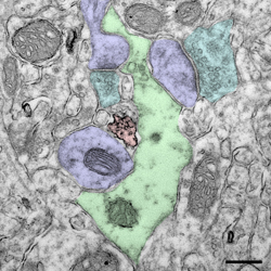
Electron micrograph showing the interaction
of microglia (immunolabeled
with and antibody to Iba1) and synaptic elements.

Traditionally, microglia are thought to be quiescent in the healthy brain and to activate only during episodes of brain injury or disease (such Alzheimer’s disease, Multiple Sclerosis and epilepsy), where they play both neuroprotective and neurodegenerative roles. Recently, in vivo imaging revealed that even when quiescent, microglia are highly dynamic and their processes are constantly surveying brain tissue for signs of neural damage. A role for microglia in normal brain processes, such as plasticity, has yet to be described despite the fact that many of their functions in pathological conditions could also impact plastic processes.

We are currently characterizing microglial activity during normal brain function and during alterations of sensory activity which results in synaptic plasticity. We are dissecting the ability of microglia to associate with neuronal and astrocytic elements and to alter synaptic structure and function. Our in vivo imaging approach allows us to assay the behavior of these cells in the intact brain in real time and watch their interactions with neurons. We are also exploring whether altering microglial activation impacts the progression of structural and functional ocular dominance plasticity.

« back to all projects