Evaluation of Experimental Therapies in a Preclinical Model of Lupus
Evaluation of Experimental Therapies in a Preclinical Model of Lupus
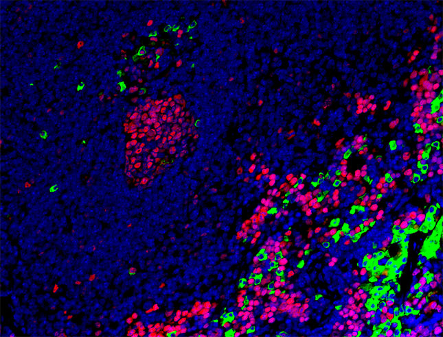
In collaboration with Dr. Allan Smrcka, we previously demonstrated that inhibition of G protein bgsignaling prevents lupus nephritis by targeting the migration of immune cells and impairing auto-reactive germinal centers (Arthritis Rheumatol 68(9): 2244-2256: 2016). In a similar fashion, experimental treatment with inhibitors of nuclear disrupts splenic germinal centers and the niche for auto-reactive and inflammatory cells in the inflamed kidney of lupus prone mice. Picture from plasma cells after treatment with selective inhibitors of nuclear export.

Spleen of mice treated with SINE drugs (PCNA in red and IgG in green).