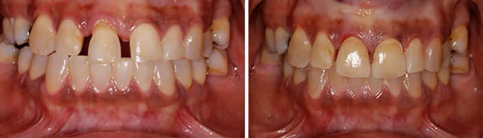
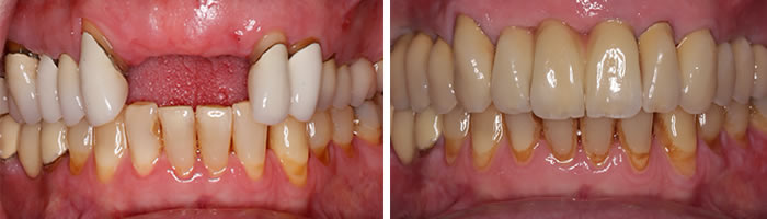
Eastman Institute for Oral Health / Educational Programs / Prosthodontics Residency / Our Work Our Work