Welcome to the Mello Lab
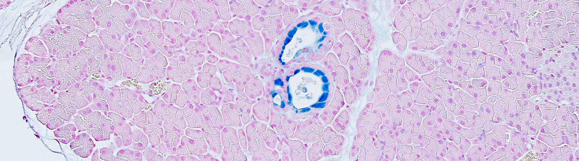
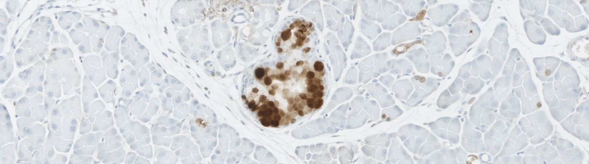
The Mello lab is aimed at understanding how nuclear proteins and non-coding RNAs (ncRNAs) regulate gene transcription in pancreatic preneoplastic lesions, gaining knowledge of the process of cellular transformation and tumor initiation. To date, very little is known about the different processes and cell types that precede cancer. We are committed to describing and characterizing novel genes that play a role during early steps of tumor initiation.
We utilize physiologically relevant in vivo models and a systems biology approach, integrating multiple types of genomic data to delineate important cellular events in tumor initiation. Our research provide insights on early detection of malignant lesions, and in the development of novel strategies to treat pancreatic cancer, pancreatitis and diabetes.

Stephano Spano Mello, Ph.D.
Principal Investigator
- MYC disrupts transcriptional and metabolic circadian oscillations in cancer and promotes enhanced biosynthesis.; PLoS genetics; Vol 19(8), pp. e1010904. 2023 Aug 28.
- P53 Regulates the Extent of Fibroblast Proliferation and Fibrosis in Left Ventricle Pressure Overload.; Circulation research. 2023 Jul 06.
- Multifaceted role for p53 in pancreatic cancer suppression.; Proceedings of the National Academy of Sciences of the United States of America; Vol 120(10), pp. e2211937120. 2023 Feb 27.
- MYC disrupts transcriptional and metabolic circadian oscillations in cancer and promotes enhanced biosynthesis.; bioRxiv : the preprint server for biology. 2023 Jan 04.
News
September 4, 2025
Emily Berry Defends Thesis!
July 27, 2021
GDSC Graduate Student Emily Berry Passes her Qualifying Exam!
July 10, 2018
Stephano Mello lab to open
November 15, 2017
The Mello lab research was recently highlighted in different journals
Contact Us
Mello Lab
601 Elmwood Ave
Rochester, NY 14642