Skip to main content
menu
URMC / Labs / Tivarus Lab / Projects

Projects

Measurements of cerebrovascular reactivity using BOLD fMRI and ASL

cerebral blood flow mapCerebrovascular reactivity (CVR), the mechanism that reflects the compensatory change in blood flow in response to a vasoactive stimulus, is an important marker of vascular health. Alterations of CVR have been associated with vascular pathophysiology, such as vasculitis, carotid artery disease, hypertension, arteriovenous malformations, traumatic brain injury, moyamoya vasculopathy, seizures, and cognitive decline. Thus its measurement is critical in determining outcomes and treatment options. The goal of the project is to evaluate non-invasive ways of measuring cerebrovascular reactivity using BOLD MRI techniques.

Learn more about Measurements of cerebrovascular reactivity using BOLD fMRI and ASL

Pre-surgical mapping of language and motor networks using task and resting state fMRI

Pre-surgical language mapping with fMRIThe proposed research seeks to develop a new protocol for acquisition and analysis of resting state functional MRI (rs-fMRI) data and to evaluate its applicability in clinical setting as a method to map eloquent brain areas for brain surgery planning in patients who cannot comply with task fMRI (t-fMRI) demands.

Learn more about Pre-surgical mapping of language and motor networks using task and resting state fMRI

Functional connectivity in the brain using resting state fMRI in patients with brain tumors

Regions with higher FC in healthy controlsThis project seeks to evaluate if language lateralization obtained from resting state fMRI can replace standard assessment using task fMRI. We also ask how functional connections in the brain are altered by brain lesions and their locations in the brain, and how these may influence the language lateralization assessment.

Learn more about Functional connectivity in the brain using resting state fMRI in patients with brain tumors

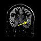
DIR in Epilepsy

DIR in epilepsyThe overall goal of this pilot project is to determine whether the use of a new specialized MRI sequence, double inversion recovery (DIR), and post-processing techniques enhance the detection of epileptogenic lesions in patients with medically intractable epilepsy. We hypothesize that these techniques will reveal previously unrecognized causative lesions and better define known lesions in patients with medically intractable epilepsy.

Learn more about DIR in Epilepsy