Skip to main content
menu

Case of the Month: Rectal Nodule

By Meenakshi Bansal, M.B.B.S., Hematopathology Fellow

Clinical history

A 72 year old male with a history of diverticular disease presented with recurrent episodes of uncomplicated diverticulitis. He experienced periods of constipation alternating with diarrhea. There is a history of tubular adenoma diagnosed five years previously. Now presented for a screening colonoscopy.

Recent history

A rectal nodule was seen at recent surveillance colonoscopy for polyps. The patient was referred for further evaluation with EUS. On EUS, a 17.8 mm x 10.8 mm hard submucosal nodule was identified in the distal rectum approximately 5 cms proximal to the anal verge. The nodule was hypoechoic with calcifications and was seen arising from the muscularis propria. FNA of the nodule was performed.

widget-0fe3f342-12c

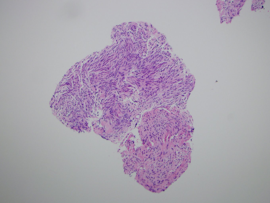
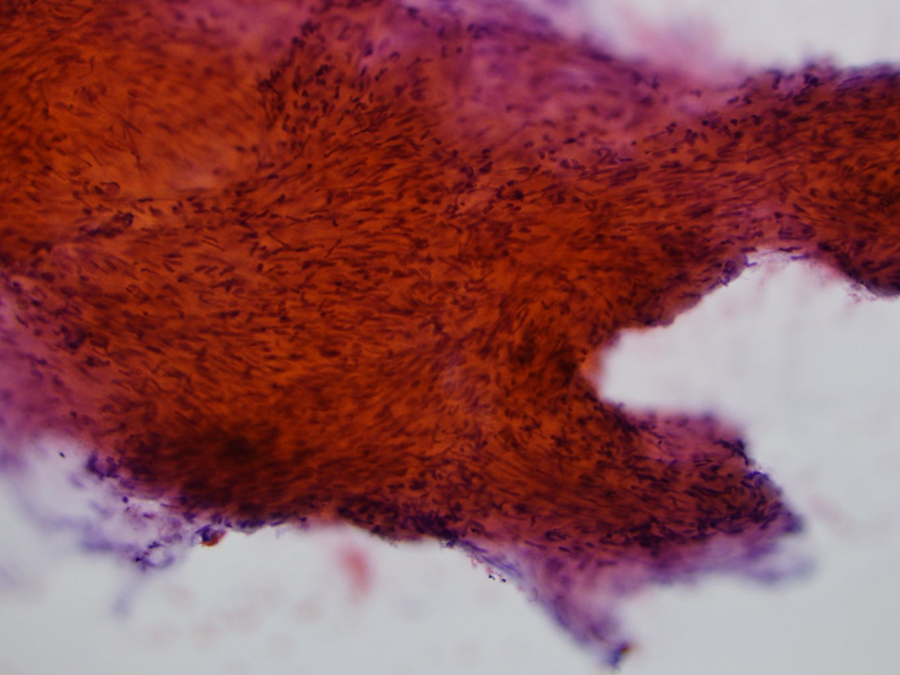
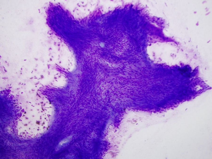
Cytomorphology

The smears were variably cellular and showed cells arranged in cohesive to loose three dimensional clusters and singly scattered or dispersed. The tumor cells formed fascicles with parallel, side-by-side arrangements of nuclei (Figures 1, 2 and 3). In these fascicles tumor cells are organized in one direction (i.e. streaming). The stroma of the cohesive sheets present between the nuclei was loosely fibrillary and stained pink to magenta on Giemsa stain. The tumor cells had, ovoid to elongated or irregular-shaped nuclei. The chromatin was finely to coarsely granular. The cytoplasm had a distinctive delicate fibrillary quality with numerous wispy cytoplasmic extensions.

Immunohistochemical (IHC) stains were performed on the cell block (Figures 4 and 5). The tumor cells were positive for CD117 while being negative for SMA, S100 and Desmin.

Next: Diagnosis