Skip to main content
menu

Case of the Month: Nighttime Cough

By Jennifer J. Findeis-Hosey, MD

Clinical History

A 71-year-old female who presents with a recent history of night time coughing episodes with an associated feeling of choking.

Past Medical History

Gastroesophageal reflux disease (GERD).

Recent History

During esophagogastroduodenoscopy (EGD), it was noted that the patient had a significant amount of retained food in her stomach. The esophagus and duodenum were unremarkable appearing on EGD. Esophageal, gastric, and duodenal biopsies were performed.

widget-cbe80021-926

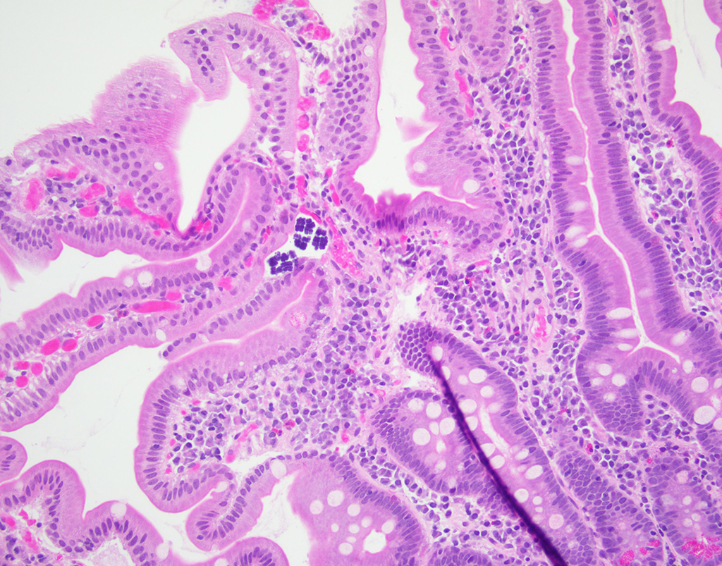
The duodenal biopsy specimen demonstrated relatively unremarkable duodenal mucosa with appropriate villous architecture and lack of a significant inflammatory infiltrate (Figure 1). A single fragment of small bowel mucosa demonstrated packeted basophilic coccoidal structures (Figure 2). Higher power examination reveals that these coccoid to cuboid structures are arranged in tetrads (Figure 3). Biopsy of the stomach demonstrated mild chronic gastritis without Helicobacter organisms or organisms similar to those identified in the duodenal biopsy specimen. Biopsies of the distal and mid esophagus were histologically unremarkable.

Next: Diagnosis