Skip to main content
menu
URMC / Pathology & Laboratory Medicine / Education / Case of the Month / Case 27: Hard, Painless Breast Mass

Hard, Painless Breast Mass

By Claire Porterfield, BS and Huina Zhang, MD

widget-3fd299d3-1f5

Clinical History

75-year-old woman presented with a history of a 2 cm well-defined, hard, painless breast mass.

Recent History

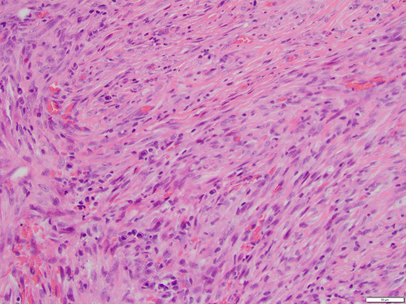
Limited patient history was available for review. The breast lesion consisted of a population of spindle cells with interspersed thick collagen bundles, focal lymphocytic aggregates and some extravasated erythrocytes (Fig 1). No overt cytologic atypia was observed and mitotic figures were infrequent (Fig 2).

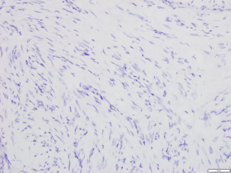
Immunohistochemical staining for smooth muscle actin (SMA) was positive, consistent with the presence of fibroblast cells (Fig 3). Whereas, stains for AE1/AE3, CK5, p63, desmin, beta catenin and CD34 (Fig 4-8, respectively) were all negative.

Next: Diagnosis