Skip to main content
menu

Pathology Case of the Month: Ovarian Mass

By Eric Aaserude, URSMD Medical Student

Clinical History

The patient is a 30-year-old female with a past medical history of GERD. She reports a two week history of severe nausea/vomiting with coffee ground emesis and transaminitis. An ultrasound demonstrates an ovarian mass. 

Imaging

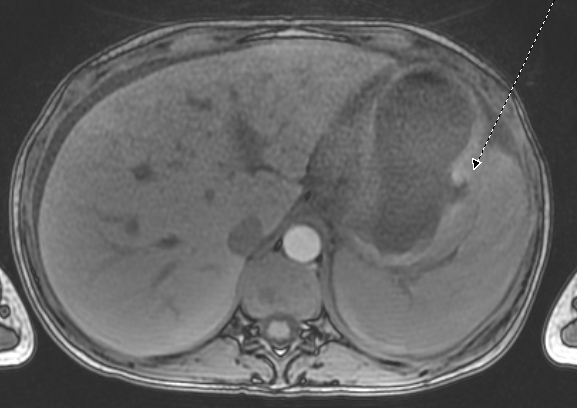
widget-701d1b49-821

MRCP demonstrated wall thickening of the distal gastric body and gastric antrum concerning for tumor (Figure 1) with a right lower quadrant lesion suspected to be an enlarged right ovary (Figure 2). Innumerable sclerotic lesions were visualized in the axial and appendiceal skeleton suggestive of metastatic disease.  EGD was performed and showed gastric nodularity and friability. The ovarian mass was surgically excised. Figure 1: MRCP of abdomen with axial (left) and coronal views (right) of the stomach and ovarian masses, respectively. 

Gross Examination

The right ovarian mass specimen is a 135 gram, 8.5 x 5.6 x 4.6 cm tan-pink to tan-white tissue fragment which has a focally disrupted smooth to vaguely nodular outer surface. The external surface is inked black. Sectioning reveals tan-pink to tan-purple, rubbery to soft cut surfaces with focal areas of hemorrhage, cyst-like areas ranging from 0.1 to 0.6 cm, tan, vaguely nodular areas ranging 0.1 to 1.4 cm, and focal areas of central necrosis.

Microscopic Examination

The right ovary specimen demonstrates diffuse infiltration by poorly differentiated adenocarcinoma with lymphovascular invasion present (Figure 3). The stomach biopsy specimen demonstrates similar morphology, with a poorly differentiated adenocarcinoma with signet-ring cell features being present in the antral biopsy specimen. Immunostaining was performed on the gastric antral biopsy specimen and demonstrates that the neoplastic cells are positive for cytokerating 7, cytokeratin 19, and cytokeratin 20 (patchy) staining, while negative for PAX8 or mammoglobin staining. 

Next: Discussion