Skip to main content
menu

Case of the Month: Neck Mass Requiring Tracheostomy

By Jennifer J. Findeis-Hosey, MD

Clinical History

An elderly female with a right neck mass requiring tracheostomy 1 week prior to biopsy.  

Past Medical History

Two months prior to the biopsy she developed hoarseness and cough, with difficulty swallowing solids.  Past surgical history is significant for a left hemithyroidectomy >20 years prior for ‘goiter’ and a remote history of a hysterectomy and breast biopsies for unknown cause and of unknown diagnoses.

Recent History

widget-34654c0e-bf0

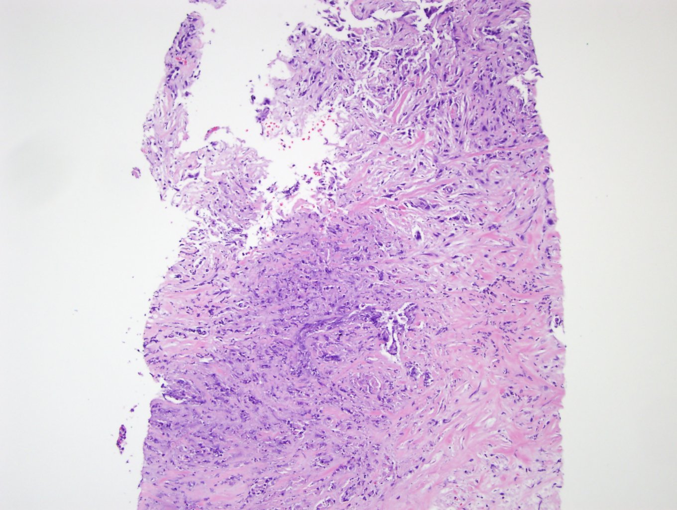
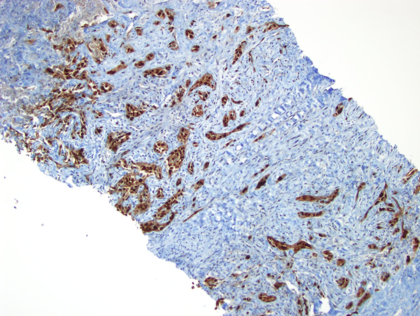
The patient underwent biopsy of the right neck mass (Figures 1-4). The tumor is relatively undifferentiated with scattered tumor cells in a dense desmoplastic stromal background, although there are areas where the malignant cells are cohesive, supporting a diagnosis of carcinoma. Overall, the tumor cells are pleomorphic, with hyperchromatic nuclei and irregular nuclear contours. No normal structures such as thyroid or lymph node are identified histologically. Immunostaining of the tumor demonstrated positive staining for cytokeratin 7, PAX8 (Figure 5), and p63; the tumor cells did not stain with cytokeratin 20, thyroglobulin (Figure 6), TTF-1, BRST-2, or estrogen receptor.

Next: Diagnosis