Skip to main content
menu

Case of the Month: Hematochezia

By Alexandra Danakas, DO (PGY-4), Bushra Fazili, MD, Aaron Huber, DO

Clinical History

A 55-year old female with past medical history significant only for hypothyroidism presented to the ED with hematochezia and diarrhea of unknown etiology. 

Recent History

widget-b3c26811-116

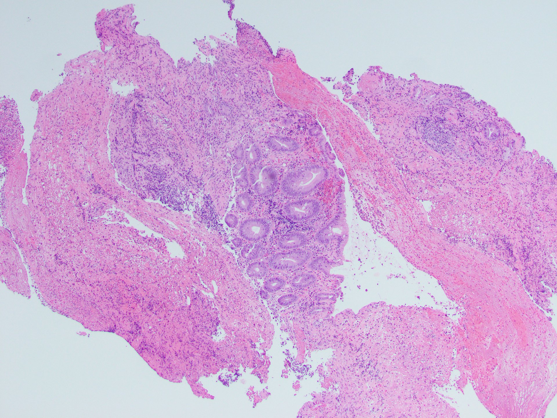
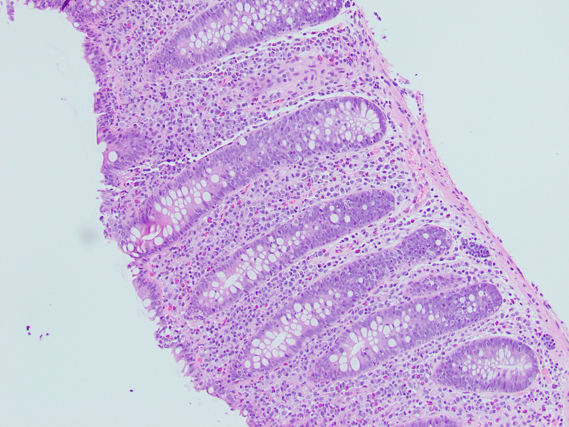
A colonoscopy was performed identifying a mass-like lesion at the ileocecal valve (Figure A). Biopsies were taken of the mass-like lesion, as well as additional samples throughout the colon. The biopsies demonstrated hyalinized lamina propria, atrophic crypts, ulceration, and active inflammation (Figures B and C). The random colon biopsies histologically demonstrated features of lymphocytic colitis (Figures D and E).

Two months following supportive treatment for her symptoms the patient underwent a repeat colonoscopy. There was complete resolution of the mass-like lesion at the ileocecal valve with no signs of colitis (Figure F).

Next: Diagnosis