Skip to main content
menu
URochester Medicine / Pathology & Laboratory Medicine / Education / Case of the Month / Case 37: Hip and Ankle Pain After Fall

Hip and Ankle Pain After Fall

By Drs. Irene Chen (PGY1) and Anthony Cardillo (PGY1)

Clinical History

An elderly male presented with right hip and right ankle pain. He reports having fallen earlier in the day.

Past Medical History

No significant past medical history.

Recent History

An x-ray of the hip showed a femoral neck fracture (Figures 1 & 2). The patient was taken to the operating room for emergent open reduction and internal fixation of the right femoral neck. During surgery the patient’s oxygen saturation decreased and he became hypotensive. Cardiopulmonary resuscitation was initiated but was ultimately unsuccessful.

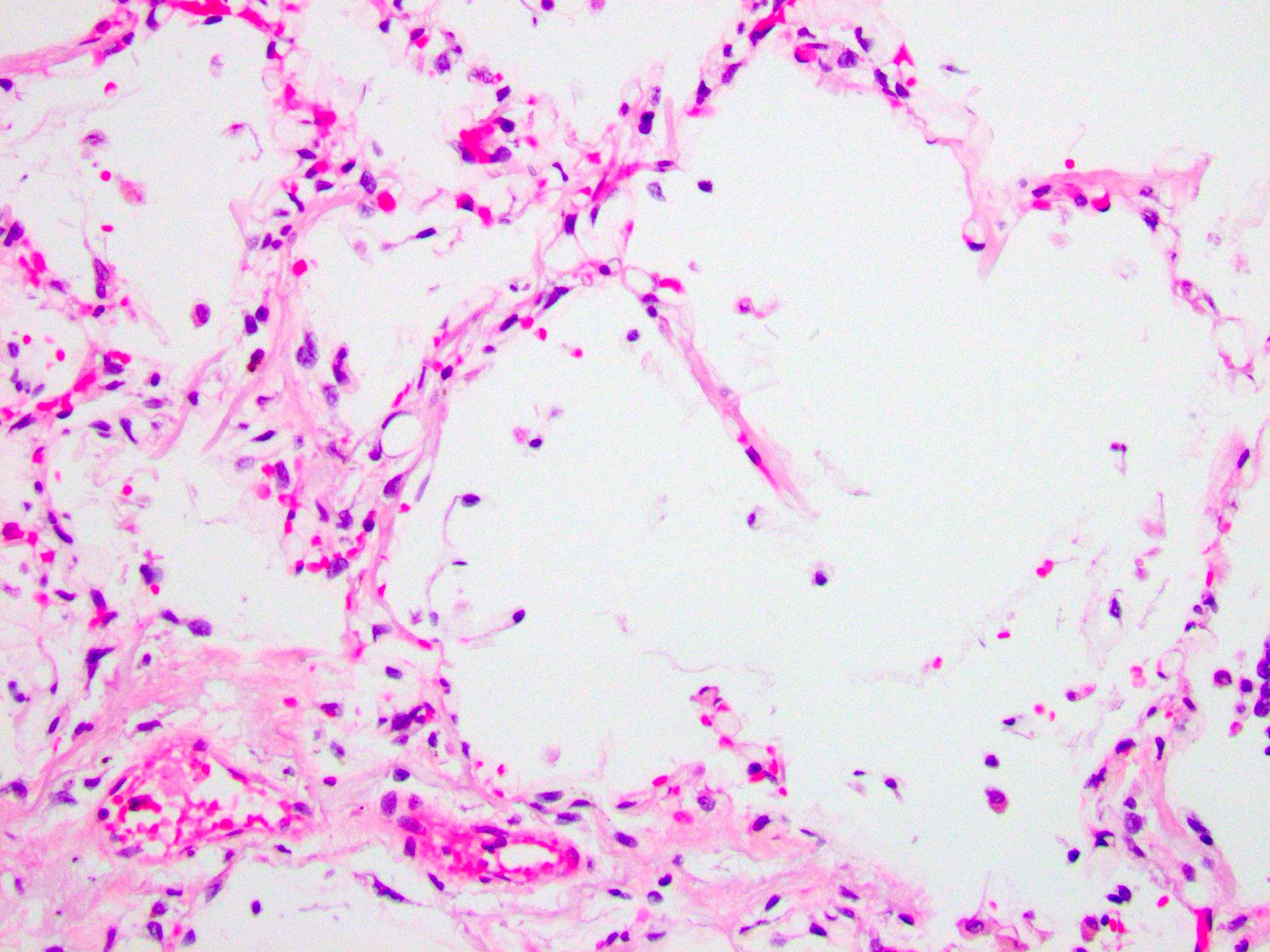
At time of postmortem examination, the lung revealed numerous round ‘empty spaces’ within the intra-alveolar septa (Figure 3). An Oil Red O stain of the lung positively highlighted these areas as consisting of fat (Figure 4). An Oil Red O stain of the kidney also demonstrated similar finding (Figure 5).

widget-903057bf-808

Next: Diagnosis