Skip to main content
menu
URMC / Pathology & Laboratory Medicine / Education / Case of the Month / Case 39: Incidental Pancreatic Tumor

Case of the Month: Incidental Pancreatic Tumor

By Numbereye Numbere, MBBS (PGY-3) and Mark G. Ettel, MD

Clinical History

An asymptomatic middle-aged woman with an incidentally discovered pancreatic mass.

Past Medical History

The patient has a history of multiple endocrine neoplasia type 1 (MEN1), with a history of primary hyperparathyroidism, pituitary adenoma, mild hypercalcemia, and multiple lipomas.  

Recent History

Abdominal CT showed a hypodense lesion in the tail of the pancreas. A follow-up MRI confirmed a 2.4 cm pancreatic mass and incidental bilateral non-obstructing renal calculi. Distal pancreatectomy was performed.

Gross examination of the distal pancreatectomy and splenectomy specimen revealed a 2.6 cm firm, well-circumscribed, homogeneous, yellow/tan intrapancreatic tumor and an unremarkable spleen.

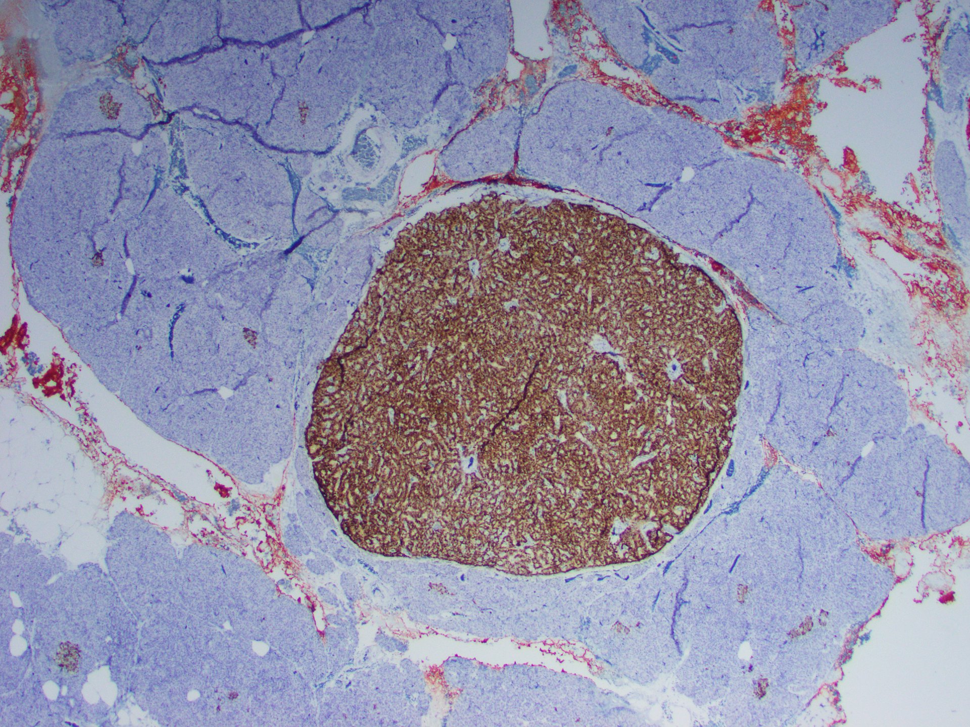
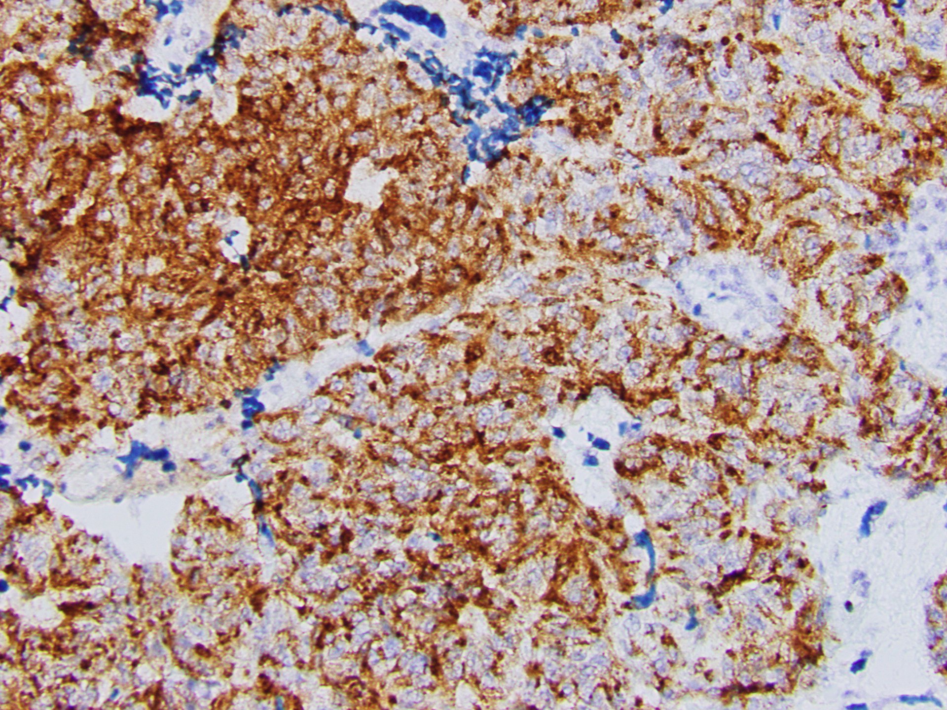
On microscopy, the tumor consisted of a monotonous population of round cells with dispersed fine chromatin, prominent central nucleoli, and a moderate amount of cytoplasm (Figures 1-5). Also, multiple small neuroendocrine lesions of similar appearance (microadenomas; Figures 6-9) were seen.

widget-46d93989-e4d

Next: Diagnosis