Skip to main content
menu
URMC / Pathology & Laboratory Medicine / Education / Case of the Month / Case 41: Posterior Tongue Nodule

Case of the Month: Posterior Tongue Nodule

By Anna-Karoline Israel, MD (PGY-3) and Ellen Giampoli, MD

Clinical History

A woman in her 30s presents with a hard nodule on her posterior tongue that she discovered several months ago.

Past Medical History

The patient does not have any significant past medical history.

Recent History

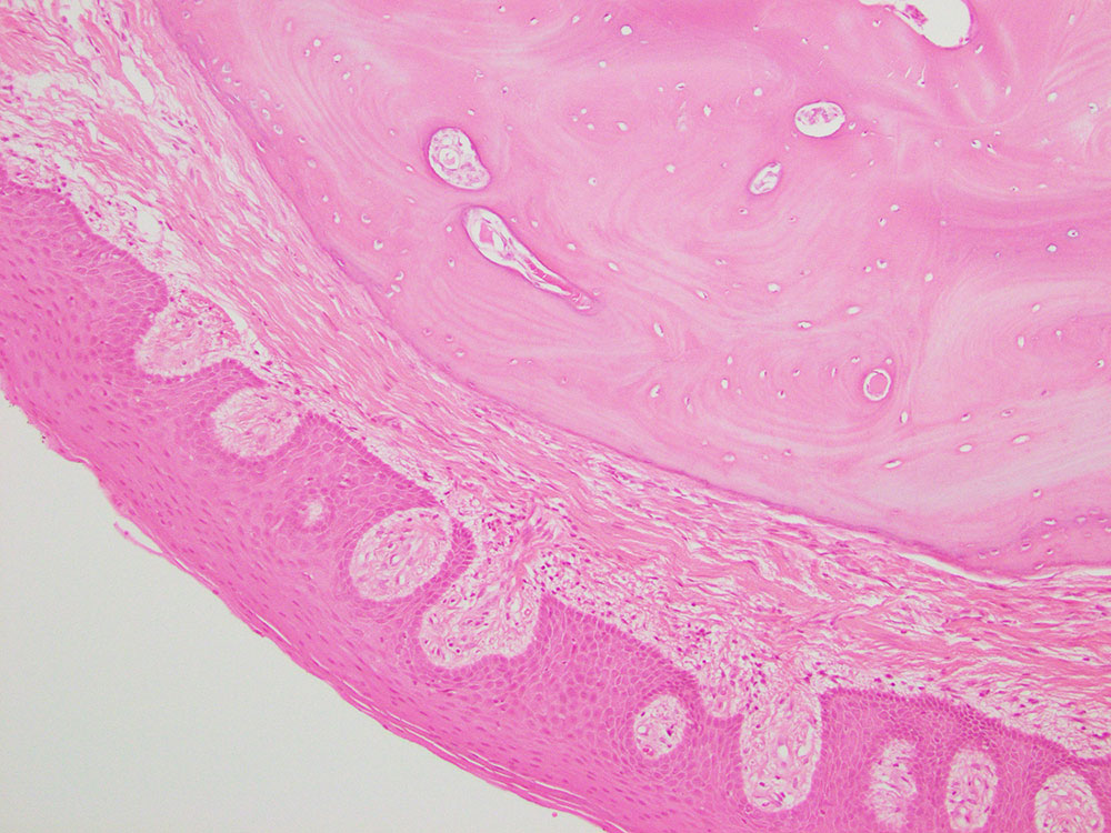
Physical exam shows a superficial, pedunculated, non-vascular midline tongue lesion adjacent to the circumvallate papillae. No imaging studies are performed. The lesion is excised. H&E sections reveal a well-circumscribed lesion consisting of mature bone underlying the surface tongue mucosa.

widget-737548be-dc8

Next: Diagnosis