Skip to main content
menu

Case of the Month: Dysphagia and Regurgitation

Authors: Caroline Bsirini, MD, Roula Katerji, MD, Aaron R. Huber, DO

Clinical History

An elderly woman with a history of metastatic breast carcinoma presented with regurgitation and dysphagia after the initiation of a new chemotherapeutic regimen 6 months ago.

Past Medical History

The past medical history was significant for metastatic breast carcinoma involving the liver and skeletal system, gastroesophageal reflux disease, hyperlipidemia, and hypertension.

Recent History

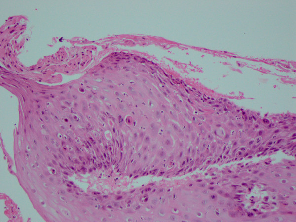
Due to the patient’s symptoms, an esophagogastroduodenoscopy (EGD) was performed which demonstrated mild mucosal erythema at the gastroesophageal junction (GEJ) and within the stomach. Histologically, numerous apoptotic bodies, mitoses, and ring mitoses were identified in the GEJ and gastric mucosa, highly suggestive of mitotic arrest and medication-induced injury or effect (Figures 1, 2, and 3). The glandular mucosa also had chronic active inflammation and Helicobacter organisms were identified. There was active inflammation and dykeratotic cells within the squamous mucosa at the GEJ (Figure 3). A review of the patient’s medications revealed the initiation of ixabepilone for the treatment of her metastatic breast carcinoma six months ago, with completion of 8 cycles. No further ixabepilone was administered after the biopsy results.

widget-042cc439-48c

Next: Diagnosis