Skip to main content
menu
URMC / Pathology & Laboratory Medicine / Education / Case of the Month / Case 51: Severe Upper GI Bleeding

Case of the Month: Severe Upper GI Bleeding

By Numbereye Numbere, MBBS and Caroline R. Dignan, MD

Clinical History

A middle-aged man developed sudden onset of voluminous hematemesis followed rapidly by loss of consciousness. He was rushed to the emergency room by ambulance.

Past Medical History

The patient’s history is notable for heavy alcohol use, hypertension, a viral-mediated immunodeficiency, and medication non-compliance.

Recent History

He underwent esophagogastroduodenoscopy (EGD). Findings at EGD included an 8 mm ulcer at the fundus, with an acutely hemorrhaging blood vessel at the ulcer bed. He was treated with local epinephrine injections and clipping of the bleeding blood vessel. He never regained consciousness and died one week after his presentation.

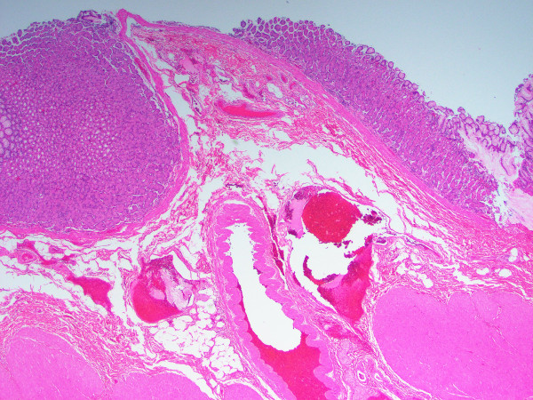
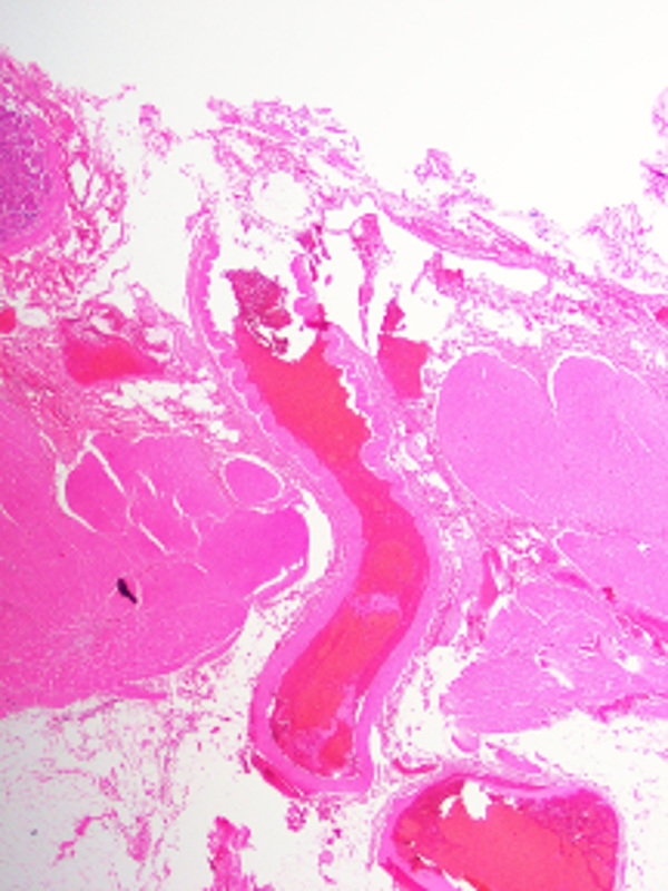
At autopsy, the stomach contained about 700 milliliters of clotted blood. There was focal gastric fundic mucosal necrosis with attached endoclips. Microscopic examination of the area of necrosis showed a large caliber tortuous submucosal artery with necrosis and ulceration of the overlying mucosa (Figure 1).

widget-f2f70e5e-e61

Next: Diagnosis