Skip to main content
menu
URochester Medicine / Pathology & Laboratory Medicine / Education / Case of the Month / Case 60: Multiple Gastric and Colonic Polyps

Case of the Month: Multiple Gastric and Colonic Polyps

Case Authors: Sena Zengin, MD, Tatsiana Pukhalskaya, MD (PGY-4) and Jennifer Findeis-Hosey, MD

Clinical History

Middle age male patient with numerous polyps on screening colonoscopy.

Past Medical History

In a two-year period, the patient was noted to have numerous colonic tubular adenomas that were removed during colonoscopy. He had no prior history of malignancy.

Recent History

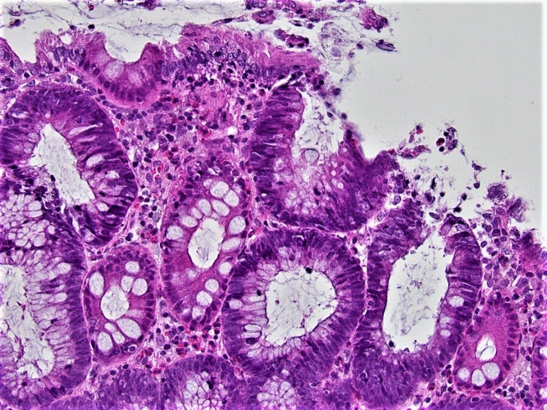
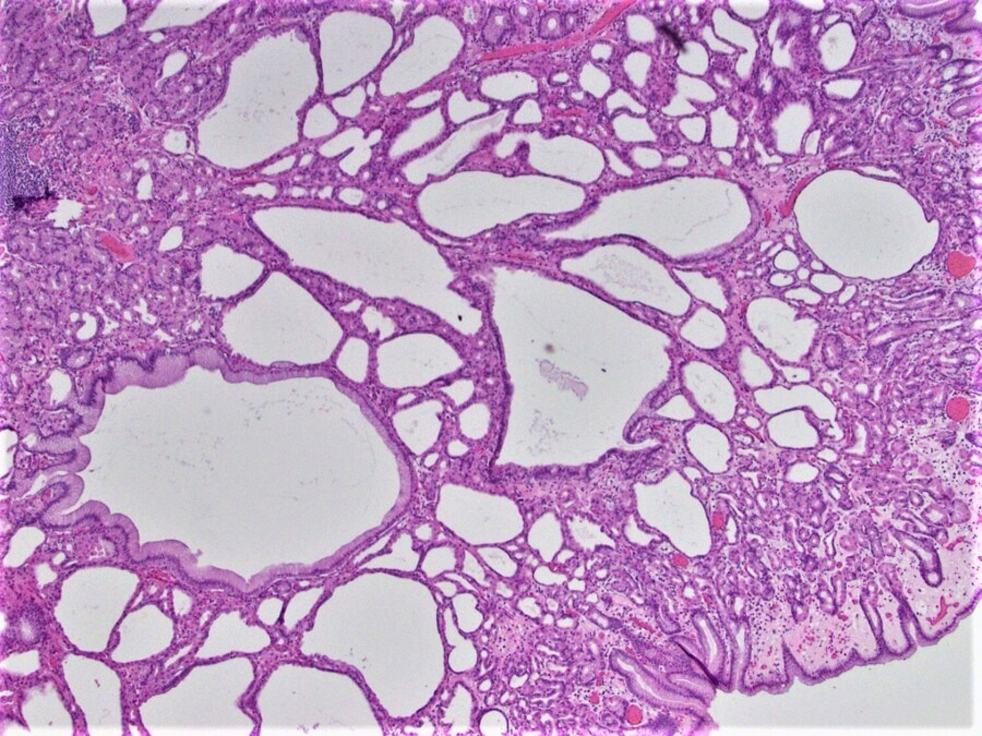
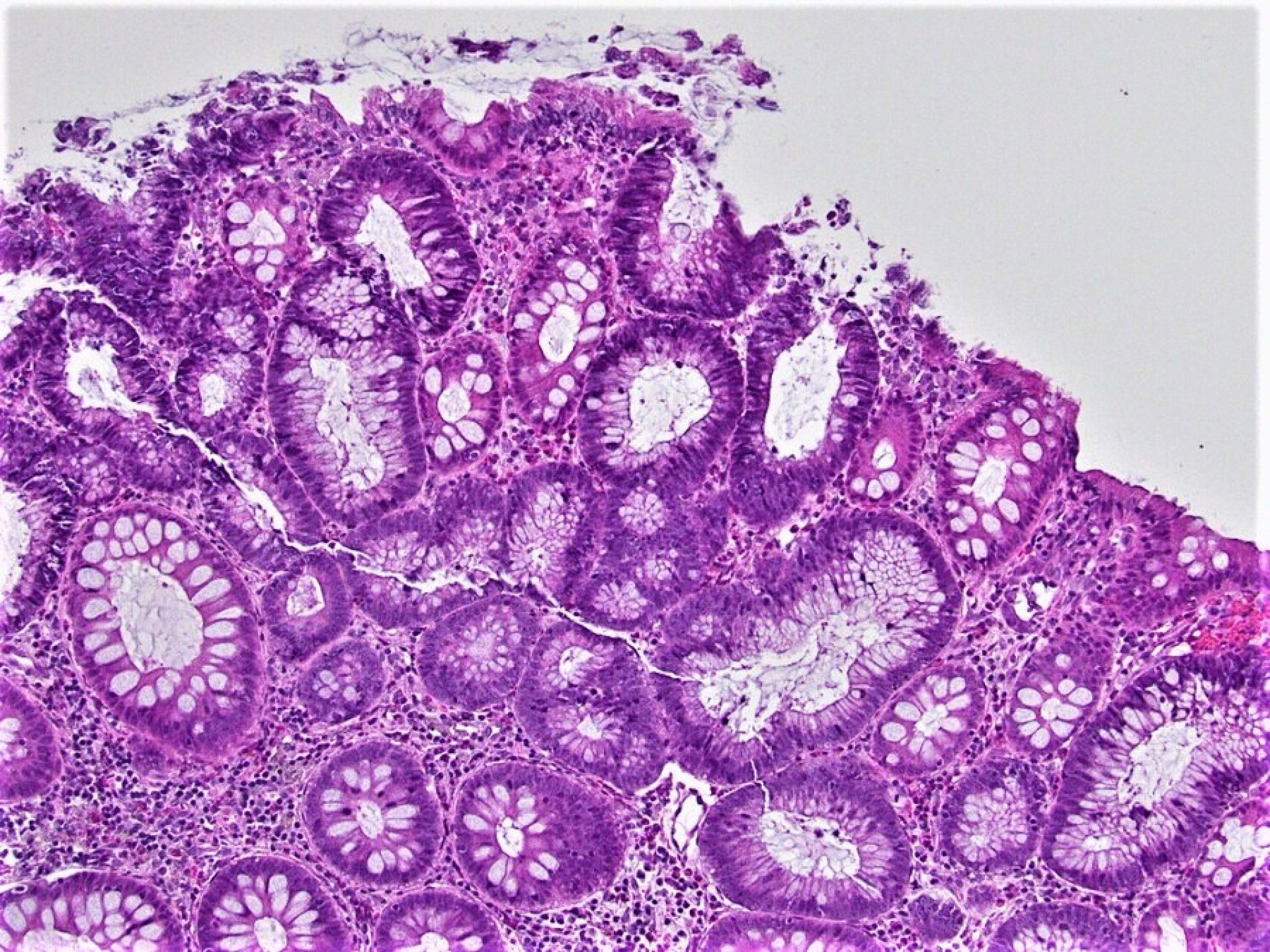
The latest endoscopic examination revealed a gastric fundic gland polyp (Figure 1) as well as numerous colonic polyps (Figures 2-4). The colonic polyps included inflammatory polyps and tubular adenomas. High-grade dysplasia was not identified in any of the polyps.

Given the marked number of adenomatous polyps, further testing was performed and the patient was found to have an underlying pathogenic mutation in the NTHL1 gene.

widget-8767db15-880

Next: Diagnosis