Skip to main content
menu
URochester Medicine / Pathology & Laboratory Medicine / Education / Case of the Month / Case 67: Shortness of Breath and Persistent Cough

Shortness of Breath and Persistent Cough

Case Authors: Rafael Cisneros, MS4, Phillip D. McMullen, MD, PhD

Clinical History

A woman in her early 70s presented with a 2-year history of progressive shortness of breath and persistent non-productive cough. She was recently informed by her landlord that there is mold in her apartment unit.

Past Medical History

Notable for gastroesophageal reflux disease (GERD), osteoarthritis, and a remote history of smoking.

Recent History

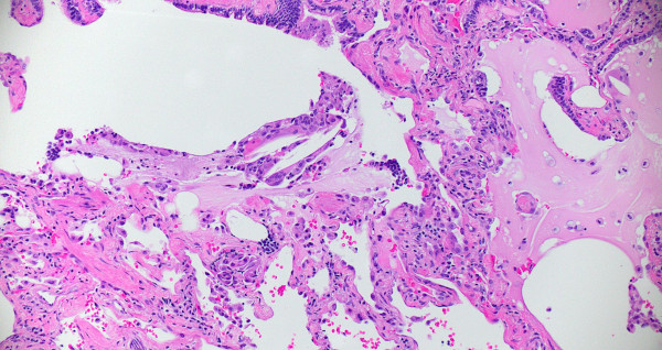
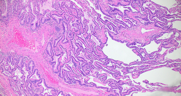
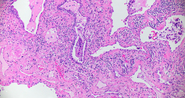
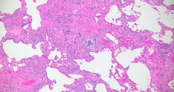
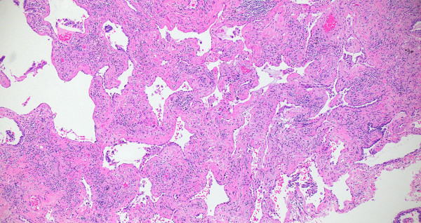
Compute tomography (CT) scan of the chest showed subpleural and peribronchial fibrosis with air-trapping on expiratory phase. The findings were read as likely “non-IPF pattern.” A serum antibody panel for hypersensitivity pneumonitis was positive for antibodies to Aspergillus flavus. Histologic sections of her lung biopsy demonstrated airways with peribronchiolar fibrosis with extensive metaplastic changes (Figure 1). Intra-alveolar giant cells and histiocytes with cholesterol clefts were seen (Figures 2-3). There were areas of interstitial inflammation and fibrosis resembling a cellular non-specific interstitial pneumonia (NSIP) pattern of injury (Figure 4). Also seen were extensive peribronchiolar metaplasia, microscopic “honeycombing”, interstitial giant cells, and poorly-formed granulomata (Figures 5-7).

widget-40568f23-309

Next: Diagnosis