Skip to main content
menu

Testicular Mass

Case Authors: Cansu Karakas, MD; Arash Lahouti, MD

Clinical History

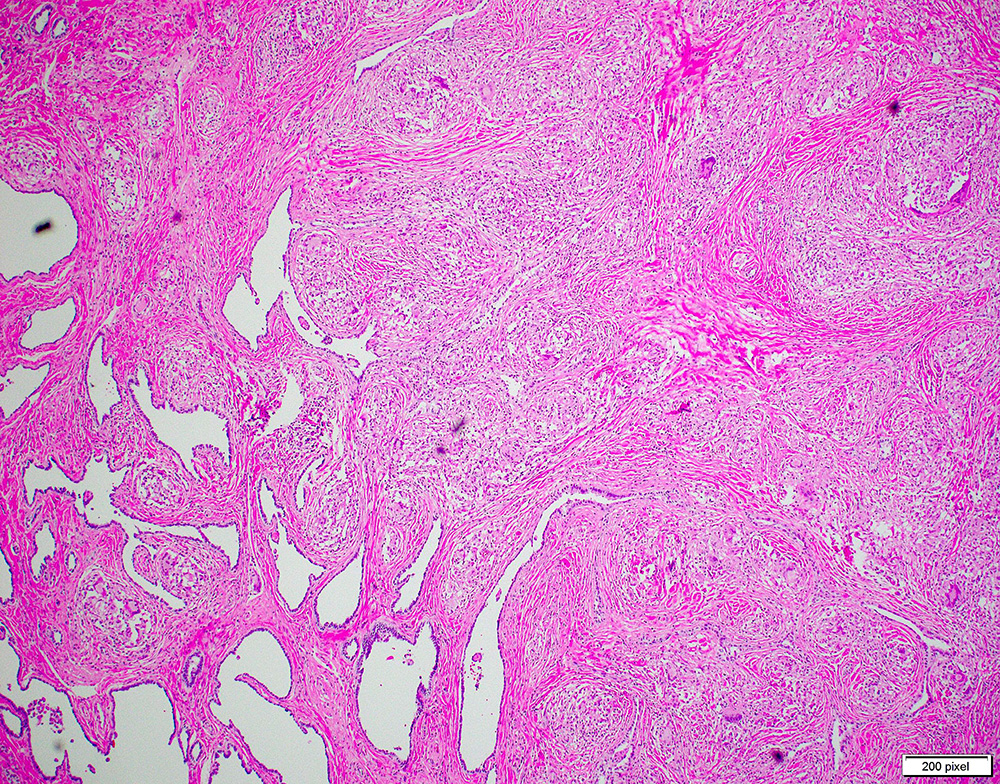
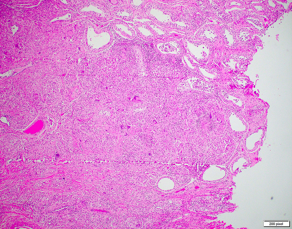
A 27-year-old African-American male presented with painful left testicular mass. He noticed a slight fluctuation in the size of the mass over the past four months, as well as subjective fever and chills. He denied dysuria, discharge, and gross hematuria. Initial workup revealed a mildly elevated alpha-fetoprotein (AFP) level (350 U/L) with normal beta-HCG and LDH.

Imaging

Ultrasound exam revealed a 1.6 cm hypoechoic left testicular mass and a 0.6 cm right testicular mass.

Recent History

Patient has a past medical history significant for epididymitis status post partial antibiotic treatment complicated by medication noncompliance a year ago. He underwent left radical orchiectomy.

widget-f8958092-556

Next: Diagnosis