Skip to main content
menu
URochester Medicine / Pathology & Laboratory Medicine / Education / Case of the Month / Case 70: Pericardial Tamponade Due to Metastasis

Pericardial Tamponade Due to Metastasis

J. Gael Uy, D.O., Numbereye Numbere, M.D.

Clinical History

A young female child presents with dyspnea and abdominal distension.

Imaging

Retroperitoneal mass with ascites; multiple metastatic tumors of the liver, pancreas, lung, and pericardium (figure 1), and repeated paracenteses due to pericardial tamponade.

Recent History

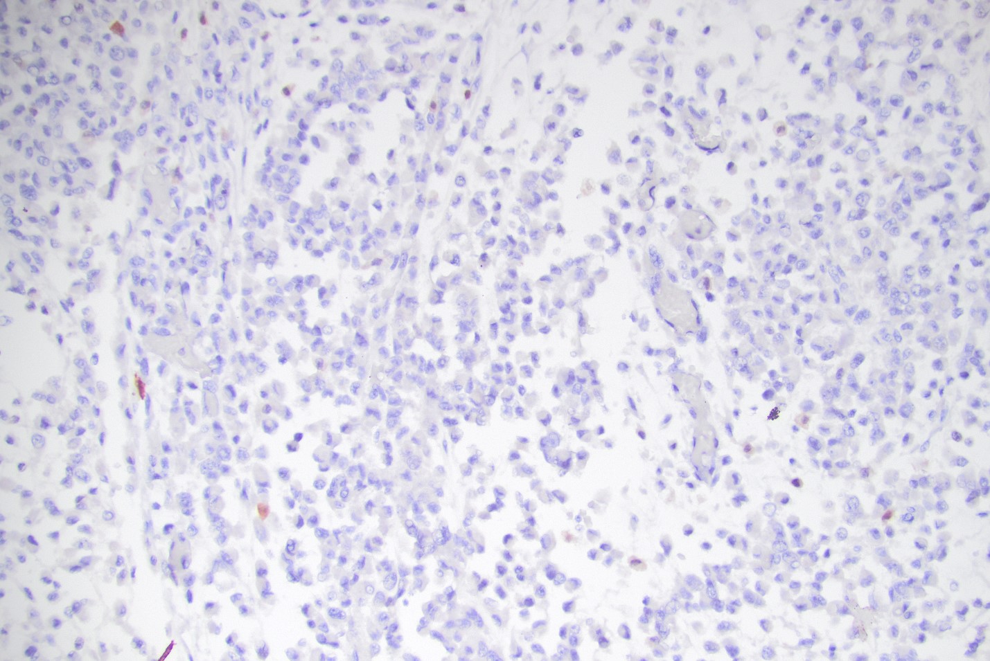
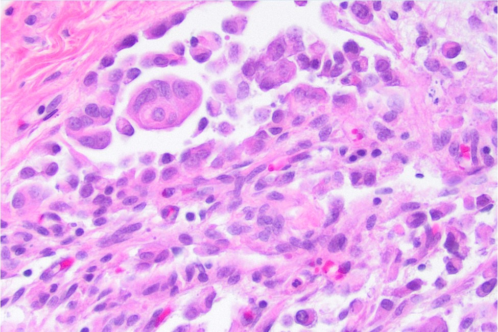
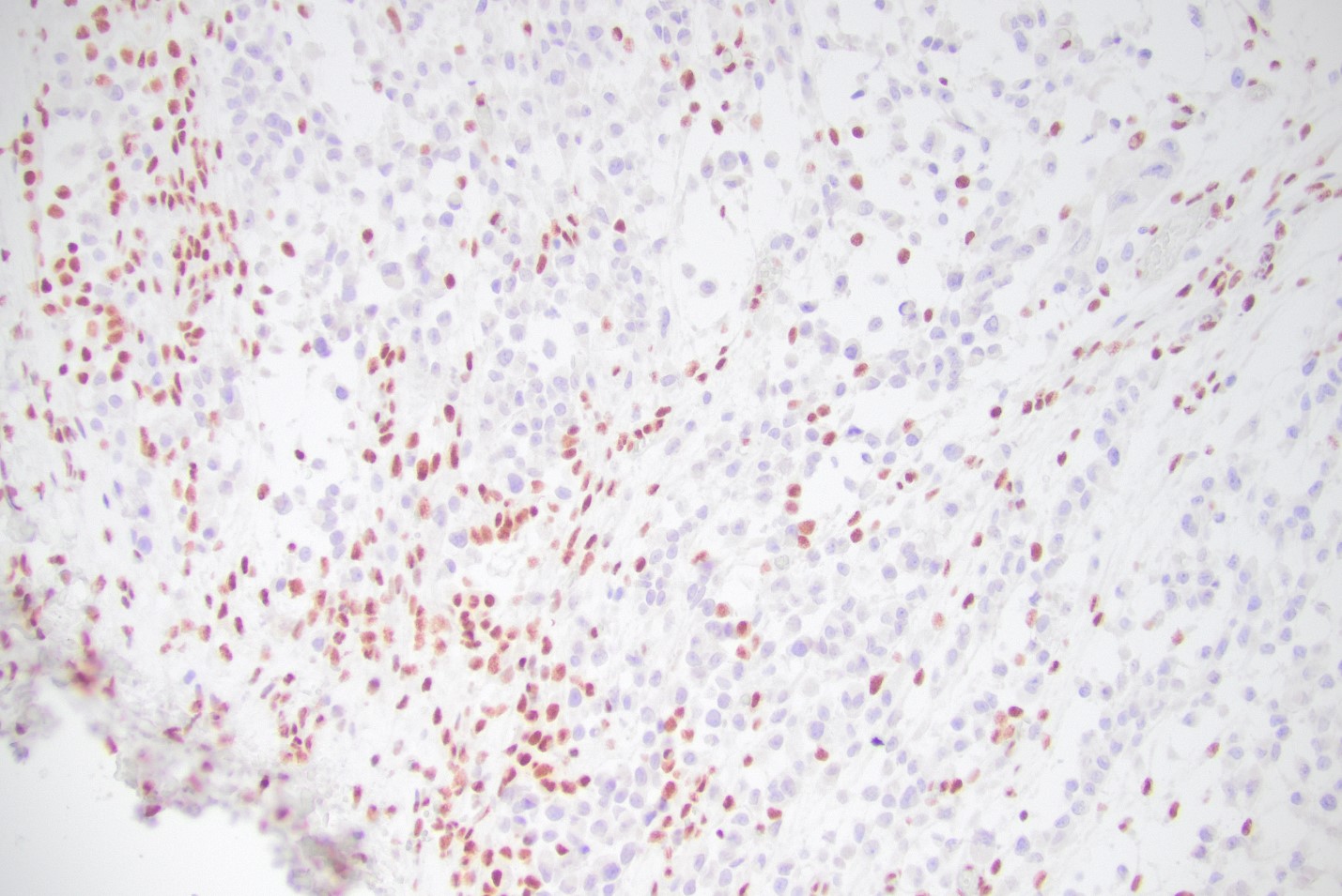
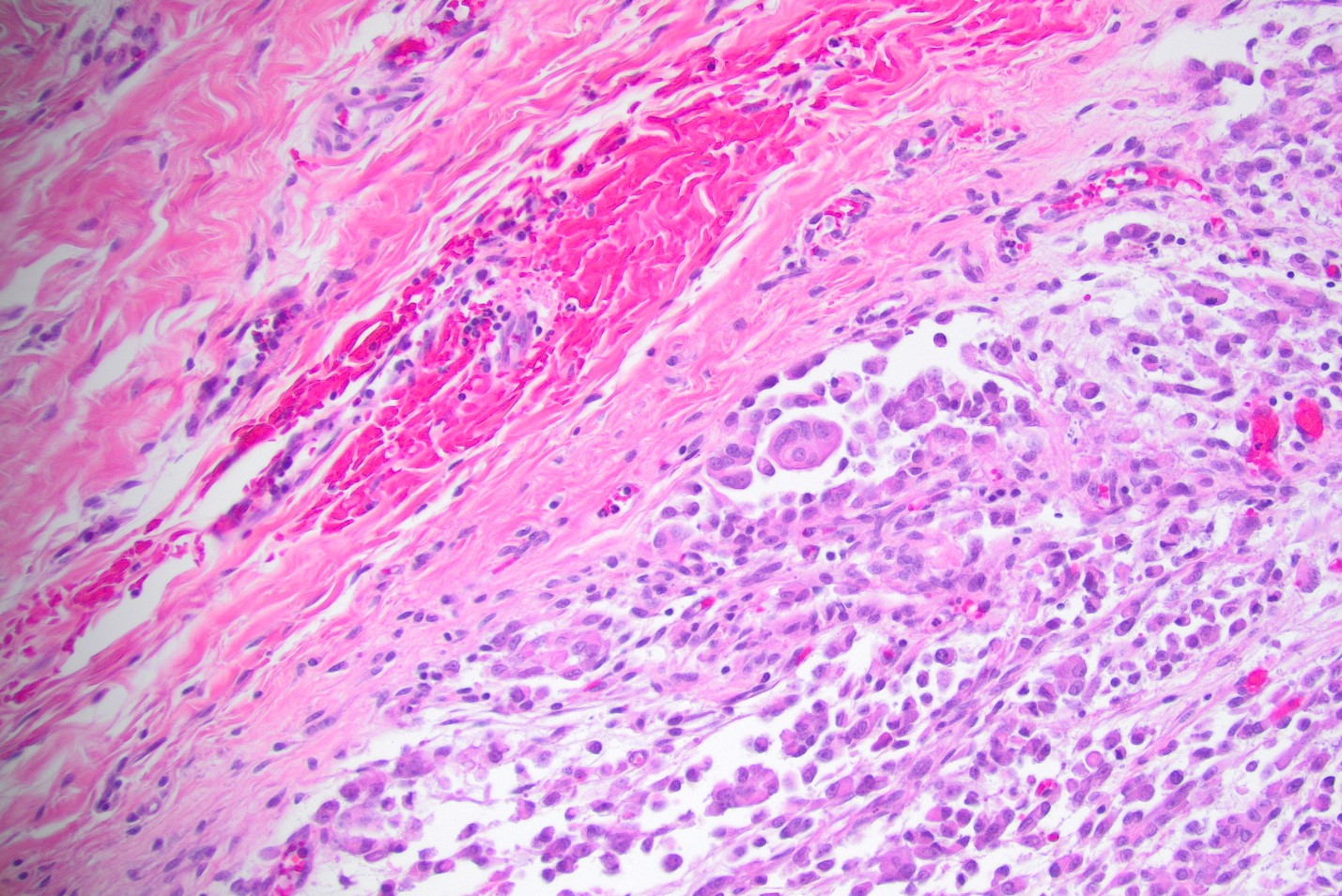
Histological examination of the patient’s pericardial biops­y specimen revealed infiltration by discohesive pleomorphic rhabdoid cells with prominent pink intracytoplasmic inclusions (figures 2-4), vesicular nuclei with prominent nucleoli, and frequent mitotic figures, including atypical forms. The tumor was positive for the cytokeratin cocktail, EMA, and vimentin. Muscle markers (myogenin and myo-D1), S100, and CD30 were negative (figure 5). There was also a loss of INI-1 immunostaining (figure 6). The findings on cytologic evaluation of the patient’s pericardial fluid were congruent with the histologic findings.

widget-a510815d-f90

Next: Diagnosis