Skip to main content
menu
URMC / Pathology & Laboratory Medicine / Education / Case of the Month / Case 73: Change in Bowel Habits

Case 73: Change in Bowel Habits

Alicia L. Schmidt, DO, Mark G. Ettel, MD

Clinical History

A 3cm mass is identified by colonoscopy in the left colon of a female patient in her 60s

Past Medical History

The patient had been experiencing intermittent nausea, reflux, left lower quadrant pain, and constipation for several months. A previous colonoscopy 4 years prior revealed diverticulosis and a single polyp.

Recent History

A colonoscopy was performed due to a persistent change in bowel habits and a firm submucosal mass measuring over 2 cm was noted in the left colon, and confirmed on CT scan where it appeared as an enhancing mass. The mucosa overlying the mass was biopsied and was unremarkable. The differential included both benign and malignant neoplasms, and because the submucosal location prevented an accurate biopsy diagnosis (in addition to the potential role of the lesion in the patient’s GI symptoms), a partial colectomy was performed.

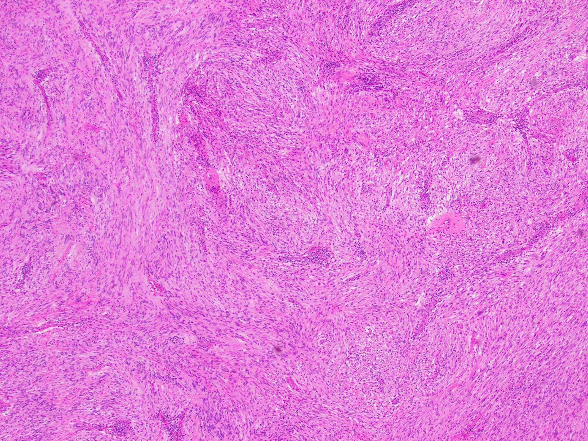
Grossly, the mass appeared as a solid dome-shaped submucosal mass measuring up to 2.7 cm (Figure 1). Histologic examination revealed a spindle cell neoplasm with foci of nuclear palisading, surrounded by lymphocytic inflammation (Figures 2-4).

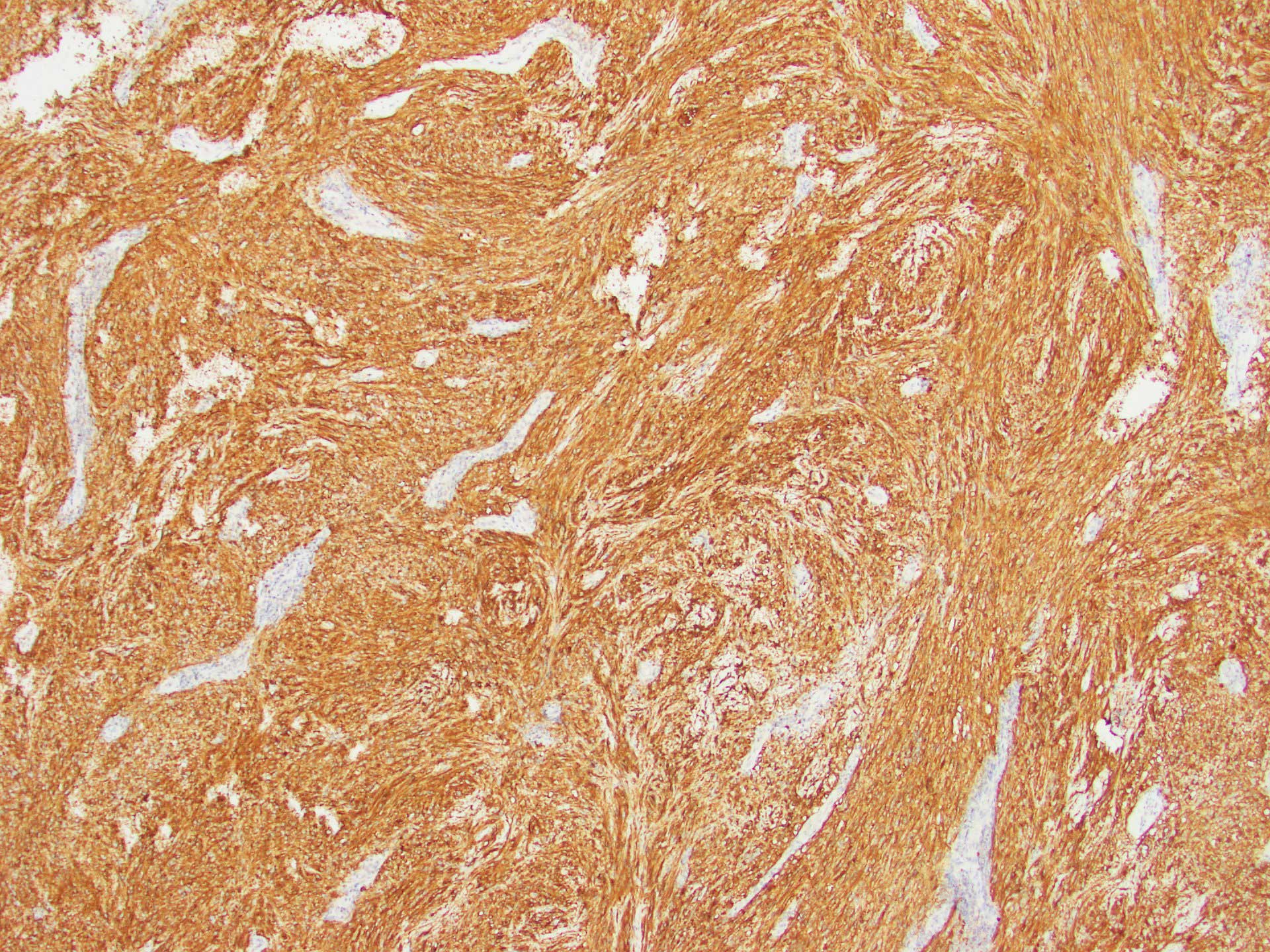
Immunohistochemistry was performed and the neoplastic cells were found to be negative for C-kit (CD117) and DOG1, while strongly and diffusely positive for S-100 (Figure 5).

widget-449b2fd0-e43

Next: Diagnosis