Skip to main content
menu
URochester Medicine / Pathology & Laboratory Medicine / Education / Case of the Month / Case 74: Diarrhea Status Post Liver Transplant

Case 74: Diarrhea Status Post Liver Transplant

Olivia A Sagan, MD, Mark Ettel, MD

Clinical History

A 55-year-old woman presents with watery diarrhea.

Past Medical History

Immunocompromised due to liver transplant two years ago due to end stage liver disease secondary to non-alcoholic steatohepatitis.

Recent History

Stool studies and tissue transglutaminase IgA were within normal ranges. The patient was found to be neutropenic, so there was concern for CMV infection due to immunocompromised status.

A colonoscopy was done to investigate the cause of the diarrhea and was unremarkable, except for sigmoid diverticulosis and internal hemorrhoids. Random colon biopsies were taken.

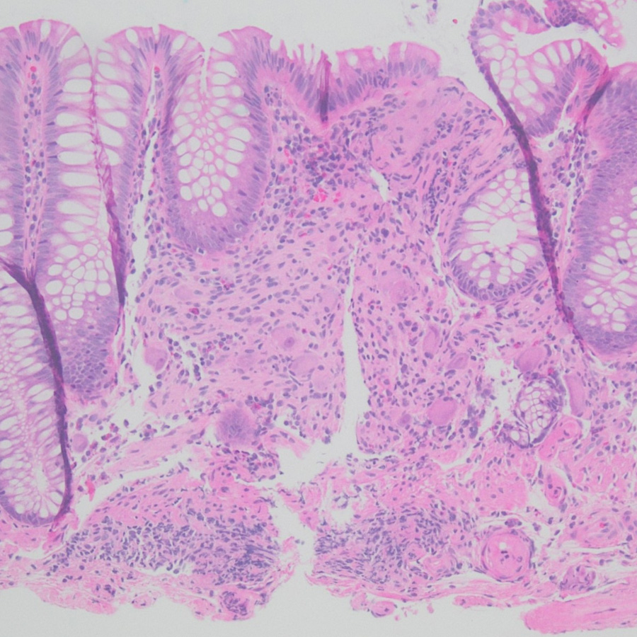
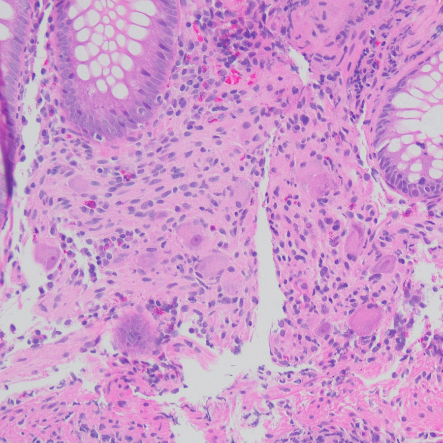
The right colon biopsy shows scattered large cells in the lamina propria with prominent nucleoli and abundant eosinophilic cytoplasm in an otherwise unremarkable colon biopsy (Figures 1-3). These cells are positive for synaptophysin (Figure 4) and negative for CMV by IHC.

widget-54222b33-68f

Next: Diagnosis