Skip to main content
menu

Case of the Month: An Unusual Colon Polyp

By Shana Straub, MD, Chief Pathology Resident at URMC

Clinical history

A 44-year-old female presented for 3-year follow-up colonoscopy. She reports a history of continued intermittent rectal bleeding occurring with bowel movements.

Past medical history

Three years prior the patient had episodes of mild to moderate rectal bleeding intermittently. Colonoscopy at the time revealed hemorrhoids and scattered hyperplastic polyps, which were removed and treated. Past medical history includes type 2 diabetes, obesity, hypertension, Graves’ disease. Remote past surgical history includes a supracervical hysterectomy and bilateral salpingo-oophorectomy for endometriosis. Current medications include estradiol replacement.

Recent history

Two 4 mm sessile polyps were identified during colonoscopy examination, one in the cecum and one in the ascending colon. A pedunculated 4 x 3 cm friable polyp was identified in the sigmoid colon (Figure 1). A portion of the polyp was debulked with snare cautery to visualize the base of the lesion. It was found that the base did not lift, so no further resection of the polyp was attempted at the time of colonoscopy. The remainder of the colonoscopy was normal.

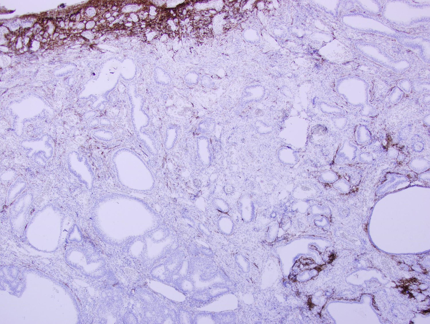
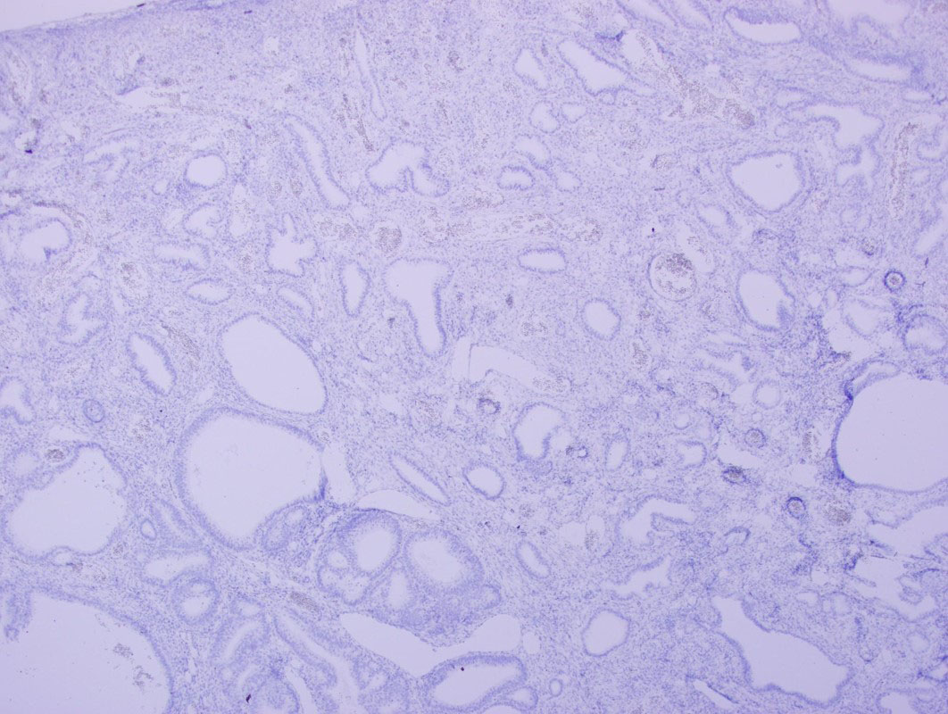
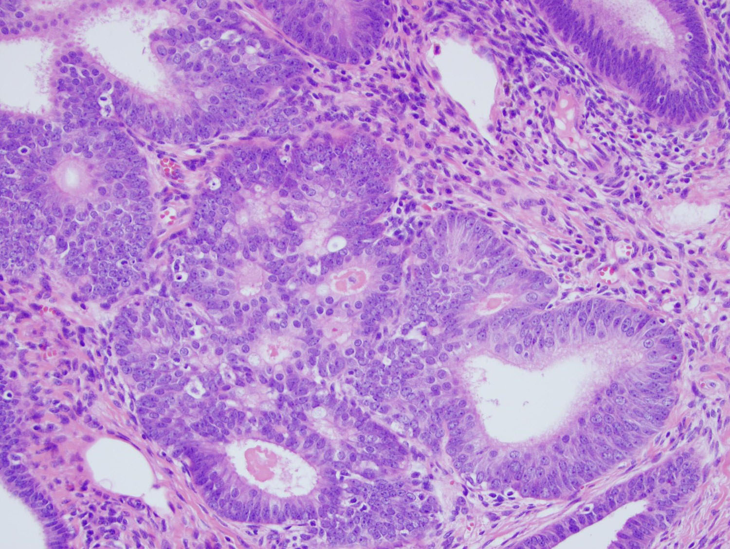
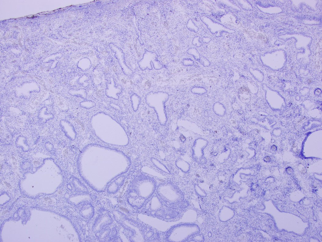
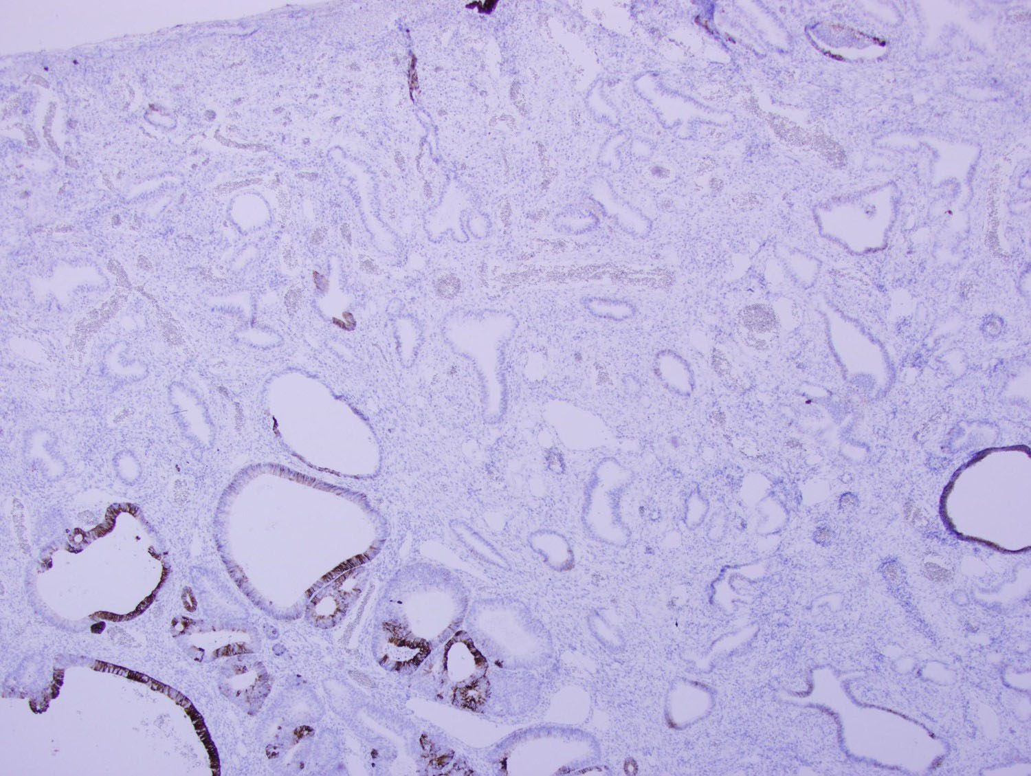
Microscopic examination of the sigmoid polyp demonstrated complete replacement of the normal colonic mucosa with infiltrating angulated and irregular glands lined by benign pseudostratified columnar epithelium, some of which were cystically dilated (Figures 2-4). Surrounding these glands was a characteristic spindle cell stroma admixed with inflammatory cells and prominently dilated vasculature. Immunohistochemical (IHC) stains were performed. The glands were negative for CDX2 and CK20 (Figures 5 and 6), while positive for PAX8 (Figure 7) and focally strongly positive for CK7 (Figure 8). The surrounding stroma was focally positive for CD10 (Figure 9).

widget-2decbe21-914


Next: Diagnosis