Role of Adipose Tissue and Adipokines in Scleroderma and Cutaneous Fibrosis
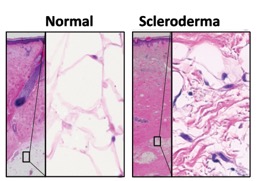
The adipose (fat) layer in the skin is a unique set of cells which contribute to multiple facets of skin homeostasis including temperature control, wound healing, control of infection, endocrine function, and energy storage. Adipocytes are derived from the same mesenchymal stem cells as dermal fibroblasts in the lower part of the skin, and their role in disease is under-appreciated. A very reproducible finding in both human scleroderma and multiple animal models of skin fibrosis is a loss of the intradermal adipose layer when fibrosis occurs. Recent work has shown that adipocyte loss may be a primary event and that adipocytes may be actively changing phenotypes to become fibroblast-like in fibrosis. The basis of Dr. Korman’s K08 award is the hypothesis that intradermal adipocytes maintain skin homeostasis and limit fibrosis by secreting anti-fibrotic factors. To define and better characterize the protective role of adipocytes in skin fibrosis and elucidate the underlying mechanism, the lab is using a combination of genetic mouse models, ex vivo systems, and transcriptomic approaches to assess mice with increased or decreased fat, assess adipose pathways in patient skin and blood, and performing cell culture experiments to assess adipocyte-fibroblast cross-talk.

