
Welcome to the Kwok Lab
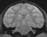
High resolution image of a
monkey brain produced using
a dedicated receiver coil.
Our research deals with magnetic resonance imaging with several focuses. One focus is on high resolution imaging to improve the diagnosis of arthritic diseases as well as to evaluate drug treatment for those diseases. A second focus is on RF coil development to improve image resolution and scan time. Other focuses include: water/fat imaging, brain functional MRI, diffusion-weighted imaging and MR spectroscopy.

Wing-Chi E. Kwok, Ph.D.
Principal Investigator
Publications
View All Publications- Radiofrequency interference in magnetic resonance imaging: Identification and rectification.; Journal of clinical imaging science; Vol 14, pp. 33. 2024 Sep 05.
- A Study of MRI Induced Heating in Conductive Loops for Better Understanding of Burn Risk Associated with Jewelry and Piercings; Radiology Management; Vol 45(3), pp. 36-42. 2023 Jan 01.
- Basic Principles of and Practical Guide to Clinical MRI Radiofrequency Coils.; Radiographics : a review publication of the Radiological Society of North America, Inc. 2022 Apr 08.
- Spike protein multiorgan tropism suppressed by antibodies targeting SARS-CoV-2.; Communications biology; Vol 4(1). 2021 Nov 22.