Skip to main content
menu

Case of the Month: Abdominal Skin Lesion

By Phoenix D. Bell, MD, MS, Kathleen Mannava, MD, and Aaron R. Huber, DO

Clinical History

A 70-year-old male with a past medical history of hypertension, gout, and hypothyroidism presents with a 3-4 week history of a rapidly-enlarging pustule on his left upper abdomen, which ultimately ulcerated (Figure 1).

Recent History

The patient also reports a 5-month history of intermittent substernal tightness, particularly after swallowing solid food. He denies decreased appetite, weight loss, fever, and chills, as well as nausea, vomiting, and diarrhea. The patient had a colonoscopy last year which showed one tubular adenoma and one sessile serrated polyp/adenoma.

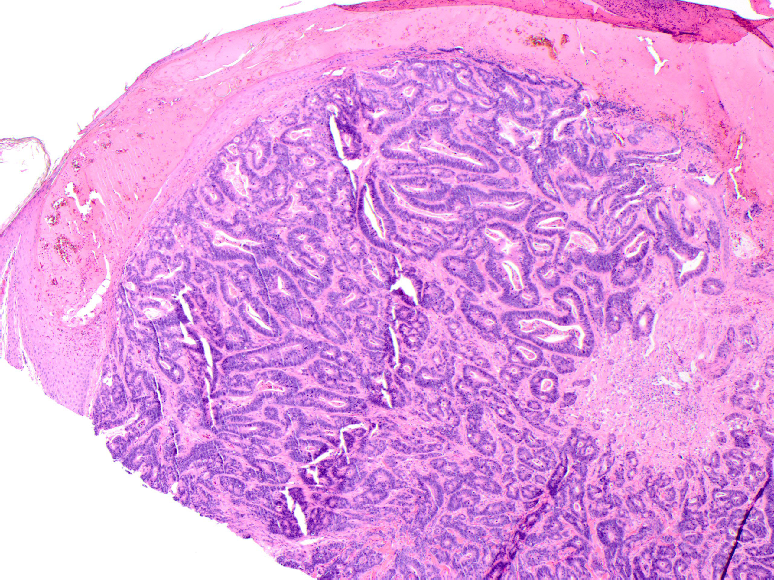
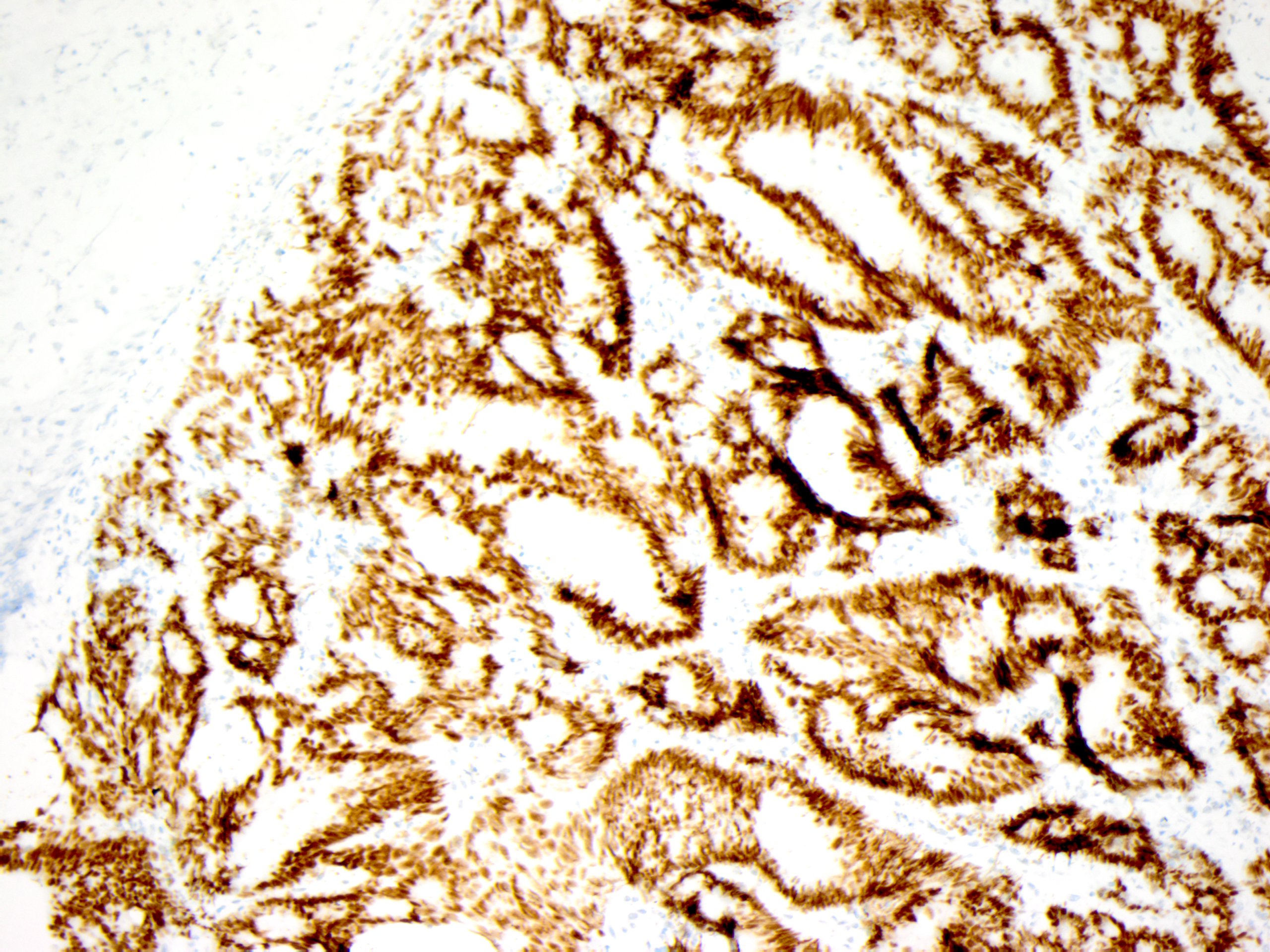
A biopsy of the skin lesion is performed and reveals squamous epithelium overlying a dermal-based infiltrative malignant gland-forming neoplasm composed of irregular glands (Figure 2). Immunohistochemical analysis reveals the cells of interest are positive for CK20 (Figure 3) and CDX2 (Figure 4), while negative for TTF-1 and PAX-8. The morphologic and immunophenotypic findings are consistent with a cutaneous metastasis from a gastrointestinal tract primary.

An abdominal CT scan is performed, which shows a heterogenously enhancing mass in the distal esophagus near the gastroesophageal junction. The patient is sent for an upper endoscopy, which demonstrates a partially occlusive 8 cm esophageal mass. Biopsy of this lesion shows a malignant gland-forming neoplasm undermining the squamous epithelium, morphologically compatible with the initial skin biopsy (Figure 5). The tumor cells also stain positive for CK20and CDX2 similar to the initial skin biopsy.

widget-bbd51882-c72

Next: Diagnosis