Color High-Resolution Plastic Sections
Color High-Resolution (2.5 micron) Plastic Sections Utilizing Basic Fuchsin and Methylene Blue as a Hematoxylin & Eosin (H & E) Like Stain and Trichrome-Like Stain
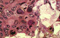
This colorful plastic section technique allows the investigator to examine large tissue blocks (1.0 x 1.0 x 0.2 cm) which are processed and embedded in Spurr epoxy resin for 2.5 um plastic sectioning using a JB-4 microtome. The sections are attached to glass slides and stained sequentially with methylene blue and basic fuchsin and coverslipped. The result is a brilliant H & E-like staining of the nuclear and cytoplasmic elements with a Trichrome-like stain. Listed below are the various cellular components in tissues that can be identified by this unique plastic section staining technique. Specific areas or cells can also be "popped off" these stained sections for ultrastructural examination.
| Cellular Component | Stain Color | Cellular Component | Stain Color | |
|---|---|---|---|---|
| collagen | turquoise blue | elastin | brilliant red-purple | |
| glycogen | blue | lipid | olive green | |
| myelin | dark purple | intestinal mucin | pink to purple | |
| gastric mucin | gray purple | mast cell granules | purple | |
| lipofuscin | green-black | melanin | mahogany | |
| basement membrane | pink |


Ref: di Sant'Agnese, P.A. and de Mesy Jensen (Bentley), K.L.: Dibasic staining of large epoxy tissue sections and applications to surgical pathology. Amer. J. Clin. Pathol. 81:25, 1984.