Skip to main content
menu

Nanoparticles

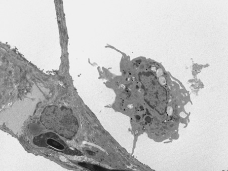
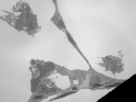
TEM images of rat lung exposed to 20nm gold particles. Photos from work of Drs. Gunter Oberdorster and Jacob Finkelstein, MURI DoD, Nanotoxicology project.

TEM image of 20nm gold particles TEM image of 20nm gold particles
Note the gold nanoparticles attached to lysosomes in this macrophage Note the gold nanoparticles attached to lysosomes in this macrophage
Sequential magnification of lung macrophage (lower right in image) Sequential magnification of lung macrophage (lower right in image)
High magnification of lysosomes containing 20nm gold particles High magnification of lysosomes containing 20nm gold particles