Skip to main content
menu

"Pop-Off" Technique for EM Examination of Cultured Cells

This versatile technique allows the investigator to examine the ultrastructure of a rare or unusual appearing cultured cell(s) for viral particles, inclusion body identification, subcellular organelles, cell-to-cell attachments, and for antigen localization immunoelectron microscopy.

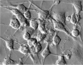
pop off 1 Phase contrast image of cultured cells
"Pop-Off" technique for EM examination of cultured cells "Pop-Off" technique for EM examination of cultured cells

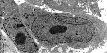
Cells grown on glass slides or thick coverslips are fixed with 2.5% glutaraldehyde and post-fixed in OsO4. The slides or coverslips are processed through a graded series of alcohols, infiltrated with liquid epoxy resin and embedded on the glass surface with inverted capsular molds containing resin. After polymerization at 70°C, the hardened capsules containing the cells of interest are then "popped-off" (the surface tension between the glass slide and the polymerized epoxy capsule is broken by dipping the slide in liquid nitrogen) the surface of the glass slides or coverslips. The "popped off" blocks are ultra-thin sectioned, stained using uranyl acetate and lead citrate examined by EM.

Ref: de Mesy Jensen (Bentley), K.L.: "Pop-off" technique for FNA smears for diagnostic electron microscopy. Tech. Sample CY-1, Amer. Soc. Clin. Pathol. 1987.