Skip to content

IVF Step-by-step

Strong Fertility Center - A Leader in Fertility Care

Ready for a Consultation?

Step-by-step

The Embryology Laboratory at the Strong Fertility Center is a state-of-the-art facility accredited by the New York State Department of Health. We offer a wide variety of laboratory techniques to help patients achieve success with assisted reproduction. These include in-vitro fertilization (IVF) with standard insemination, intracytoplasmic sperm injection (ICSI), assisted hatching (AHA), embryo cryopreservation, blastocyst culture, TESE and MESA for male factor, and embryo biopsy for pre-implantation genetic diagnosis.

The IVF Process: Step-by-step

Step 1: Ovarian Stimulation

Ovarian stimulation involves using hormone medications to encourage the development of multiple eggs in a single cycle. The most commonly used approach is a GnRH antagonist protocol, which suppresses the body’s natural hormones to prevent premature ovulation.

Daily gonadotropin injections are used to stimulate the ovaries to produce multiple follicles. Ultrasound imaging and bloodwork are performed regularly to monitor follicular growth and hormone levels. When the lead follicles reach the appropriate size, a trigger injection—typically using hCG or a GnRH agonist—is given to complete final egg maturation.

Egg retrieval is scheduled 34 to 36 hours after the trigger injection.

Step 2: Egg Retrieval

Egg retrieval is performed under intravenous sedation in a procedure room. Using transvaginal ultrasound guidance, a needle is inserted through the vaginal wall into the ovaries to aspirate the fluid from each follicle. This fluid is immediately examined by an embryologist to identify and collect the eggs.

The retrieved eggs are then placed in a special culture medium and incubated in a carefully controlled environment until fertilization.

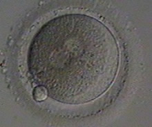
Step 3: Fertilization and Embryo Culture

Fertilization may occur via standard insemination or intracytoplasmic sperm injection (ICSI):

  • Standard Insemination: If sperm parameters are within normal range, approximately 50,000 to 100,000 motile sperm are added to each egg in a culture dish.
  • ICSI: If sperm count, motility, or morphology are suboptimal—or if sperm is obtained surgically—ICSI is performed. A single sperm is injected directly into each mature egg using a fine needle under a high-powered microscope.

Fertilization is assessed 16–18 hours after insemination or ICSI. Successfully fertilized eggs, called zygotes, are then placed in a specialized culture medium to support further development. For most patients, embryos are grown in extended culture and remain undisturbed—aside from scheduled media changes—until day 5, 6, or 7, when they reach the blastocyst stage. This approach helps optimize the embryo’s environment and supports the selection of embryos with the highest developmental potential.

In select cases—such as when a day 3 embryo transfer is planned or closer observation is clinically indicated—embryos may be assessed on day 3 to help guide treatment decisions. Blastocyst culture may improve implantation potential and allows for more selective embryo transfer, which can reduce the risk of multiple pregnancy. However, if only a few embryos are available or embryo quality is low, a day 3 transfer may be recommended instead.

Step 4: Embryo Development and Quality Assessment

Embryo quality is evaluated based on cell number, symmetry, degree of fragmentation, and—at the blastocyst stage—expansion and cellular differentiation. Embryologists use a grading system to help identify embryos with the highest developmental potential.

Day 3 Embryos (Cleavage Stage): Typically contain 4–8 cells. Ideal embryos have symmetrical cells with minimal or no fragmentation. Our lab grades these embryos from Grade 1 (best quality) to Grade 4.

Day 5–7 Embryos (Blastocyst Stage): Blastocysts are more advanced embryos that have continued to grow and differentiate. At this stage, they typically contain approximately 100 to 200 cells and resemble a fluid-filled ball composed of two distinct cell types: the inner cell mass (ICM) and the trophectoderm (TE).

Key grading criteria include:

  • Expansion Stage (rated 1–6): Reflects the degree of cavity expansion and hatching from the zona pellucida. Grade 5 is fully expanded while grade 6 is a fully hatched blastocyst.
  • Inner Cell Mass (ICM): These cells develop into the fetus. Graded by cell number, compactness, and organization.
      • Grace A: Many cells, tightly packed
      • Grade B: Several cells, loosely grouped
      • Grade C: Few cells, disorganized
  • Trophectoderm (TE): These outer cells will form the placenta. Graded by cell number and appearance:
      • Grade A: Many cells, forming a cohesive epithelium
      • Grade B: Fewer cells, less organized
      • Grade C: Few, irregular cells

A common grading example is 4AA, which refers to a fully expanded blastocyst with high-quality ICM and TE. While grading helps embryologists select embryos with the best appearance and developmental potential, it's important to remember that grading is not a guarantee of implantation or pregnancy.

On the day of transfer, the embryologist and physician will review the development and appearance of your embryos and determine which—and how many—are recommended for transfer based on your clinical history and goals.

ASRM Guidelines on Number of Embryos to Transfer

Step 5: Embryo Transfer

Embryo transfer typically occurs on day 3 (cleavage stage) or day 5 (blastocyst stage). It is a simple, outpatient procedure that does not require anesthesia.

One or more embryos are gently loaded into a soft catheter and placed into the uterine cavity under ultrasound guidance. The process is quick and generally well tolerated.

The number of embryos transferred is based on embryo quality, patient age, treatment history, and guidelines designed to reduce the risk of multiple pregnancy.

Additional IVF Procedures

Assisted Hatching

Before an embryo can implant in the uterine lining (endometrium), it must hatch from its outer shell, known as the zona pellucida. Assisted hatching is a laboratory technique that creates a small opening in the zona pellucida, potentially facilitating this hatching process.

Recent guidelines from the American Society for Reproductive Medicine (ASRM) indicate that assisted hatching should not be routinely recommended for all patients undergoing in vitro fertilization (IVF), as current evidence does not demonstrate a significant improvement in live birth rates. The decision to use assisted hatching should be individualized, taking into account specific clinical circumstances and discussed thoroughly with your fertility specialist.

For more detailed information, please refer to the ASRM's guideline on assisted hatching.

Embryo Cryopreservation

Embryo cryopreservation (freezing) may be an option for individuals or couples who have surplus normally fertilized embryos or high-quality blastocysts remaining after an embryo transfer. Embryos may be frozen at various stages of development, including the zygote stage (2PN) one day after egg retrieval, the cleavage stage (typically day 3), or the blastocyst stage (days 5, 6, or 7). The decision about when to freeze embryos is based on multiple factors, including embryo development, treatment goals, and individual clinical considerations.

Microsurgical Epididymal Sperm Aspiration (MESA) or Testicular Sperm Extraction (TESE)

Some patients' semen samples contain no spermatozoa due to a congenital obstruction of the sperm ducts, vasectomy, failed vasectomy reversal, or primary testicular failure. In these conditions, a urologist can obtain sperm surgically from the epididymis (MESA) or from the testis (TESE). This sperm can be frozen and used for fertilization by ICSI.

Embryo Biopsy

Preimplantation Genetic Testing (PGT)

PGT is a procedure that is performed in conjunction with IVF. It is designed to help detect genetic abnormalities/inherited genetic diseases in embryos before implantation, thereby minimizing the transfer of affected embryos.